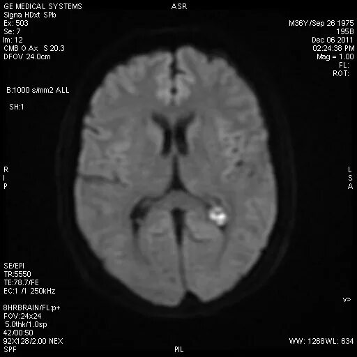
Желудочки на мрт. каротидном пространстве слева на мрт. кистозное расширение 4 желудочка на мрт. баллонообразное расширение желудочков.Желудочки головного мозга кт анатомия. 3 желудочек головного мозга кт. кт анатомия бокового желудочка головного мозга. расширение желудочков головного мозга на кт.Желудочки головного мозга кт анатомия. боковые желудочки головного мозга на мрт. мрт желудочков головного мозга в норме. расширение желудочков головного мозга мрт.Расширение желудочков головного мозга мрт. желудочки мозга анатомия мрт. боковые желудочки мозга мрт.Желудочки головного мозга кт анатомия. желудочки головного мозга анатомия мрт. мрт норма анатомия головного мозга. боковые желудочки головного мозга мрт норма.3 желудочек головного мозга мрт. желудочки головного мозга анатомия мрт. мрт желудочков головного мозга в норме. 4 желудочек головного мозга мрт.Желудочки головного мозга кт. расширение желудочков мозга кт. расширение желудочков головного мозга мрт. желудочки головного мозга кт анатомия.Мрт желудочков головного мозга в норме. желудочки головного мозга человека мрт. боковые желудочки мозга мрт норма. боковые желудочки головного мозга на мрт.Мрт желудочков головного мозга в норме. боковые желудочки мозга мрт норма. боковые желудочки головного мозга на мрт. желудочки головного мозга кт анатомия.Нормотензивная гидроцефалия головного мозга мрт. нормотензивная гидроцефалия кт. желудочки головного мозга гидроцефалия мрт.Желудочки мозга гидроцефалия. внутричерепная гипертензия мрт. гидроцефалия снимок мрт. желудочки головного мозга гидроцефалия мрт.Сильвиева щель мрт. сильвиевы щели на кт. расширение желудочков головного мозга на кт. расширение желудочков мозга норма.4 желудочек головного мозга мрт. опухоли третьего желудочка мрт. 3 желудочек головного мозга мрт.Боковые желудочки головного мозга кт. желудочки головного мозга кт анатомия. ширина желудочков головного мозга на кт. боковые желудочки мозга рога на кт.Желудочки головного мозга мртРасширение боковых желудочков головного мозга на мрт. расширение желудочков головного мозга мрт. боковые желудочки мозга на срезе. мрт головного мозга расширены желудочки.Мрт желудочков головного мозга в норме. мрт мозга норма. мрт норма анатомия головного мозга.Желудочки головного мозга кт анатомия. 3 желудочек головного мозга кт. строение боковых желудочков головного мозга на мрт. боковые желудочки головного мозга кт.Глиома головного мозга кт. опухоль 4 желудочка мрт. желудочки головного мозга кт анатомия. 4 желудочек головного мозга мрт.Гидроцефалия головного мозга на мрт. гидроцефалия снимок мрт. тетравентрикулярная гидроцефалия мрт. гидроцефалия головного мозга на снимках мрт.Коллоидная киста желудочка. киста третьего желудочка. коллоидная киста 3 желудочка. коллоидная киста головного мозга.Размеры боковых желудочков головного мозга на кт. расширение 4 желудочка головного мозга кт. ширина желудочков головного мозга на кт. четвертый желудочек мозга на кт в норме.Кт анатомия бокового желудочка головного мозга. желудочки мозга на мрт норма. мрт желудочков головного мозга в норме. желудочки головного мозга кт.Мрт желудочков головного мозга в норме. мрт головного мозга расширены желудочки. боковые желудочки головного мозга на мрт.4 желудочек головного мозга кт анатомия. 4 желудочек анатомия мрт. 4 желудочек головного мозга мрт. желудочки головного мозга анатомия мрт.Мрт анатомия головного мозга аксиальные срезы. желудочки головного мозга кт анатомия. кт анатомия бокового желудочка головного мозга. кт головного мозга аксиальный срез.Желудочки головного мозга кт анатомия. асимметрия боковых желудочков мрт. кт анатомия бокового желудочка головного мозга. боковые желудочки головного мозга на мрт.Третий желудочек мозга анатомия. третий желудочек головного мозга кт. стенки третьего желудочка головного мозга. анатомия третьего желудочка головного мозга.Желудочки головного мозга гидроцефалия мрт. расширение желудочков головного мозга мрт. гипертензивная гидроцефалия мрт. расширены желудочки головного мозга ликвор.Расширение желудочков головного мозга мрт. боковые желудочки мрт. менингиома желудочков мозга-.Индекс эванса гидроцефалия. индексы желудочков головного мозга на кт. измерение желудочков мозга на кт. расширение боковых желудочков.Опухоли 4 желудочка головного мозга мрт. опухоль 4 желудочка головного мозга кт. 4 й желудочек головного мозга мрт. эпендимома желудочков головного мозга мрт.Желудочки головного мозга мртАсимметрия боковых желудочков на кт. асимметрия боковых желудочков мрт. боковые желудочки головного мозга мрт норма. 4 й желудочек головного мозга мрт.Образование боковых желудочков мозга мрт. кисты сосудистых сплетений задних рогов боковых желудочков. обызвествление сосудистых сплетений задних рогов боковых желудочков. образование бокового желудочка кт.Кт анатомия бокового желудочка головного мозга. боковые желудочки головного мозга кт. третий желудочек головного мозга кт. желудочки головного мозга анатомия мрт.Желудочки головного мозга кт анатомия. индекс желудочков головного мозга мрт. боковые желудочки головного мозга кт. третий желудочек головного мозга кт.Мрт головного мозга сагиттальный срез. кт головного мозга сагиттальная проекция. сагиттальный срез мрт мозга 3 желудочек. мрт срединный сагиттальный срез головного мозга.Четвёртый желудочек головного мозга кт. расширение 4 желудочка головного мозга кт. размер 3 желудочка мрт.Эпендимома желудочка головного мозга. желудочки головного мозга кт. третий желудочек головного мозга кт. желудочки мозга на кт.