Удиви меня
Вывих локтевого сустава
Вывих локтевого сустава
Вывих локтевого сустава рентген. локтевой сустав рентген. подвывих локтевого сустава рентген.
Вывих локтевого сустава анатомия. вывих локтевовасустава строение. вывих локтевой кости сустава. двухсторонний вывих локтевого сустава.
Внеочаговый остеосинтез. подвывих локтевого сустава. вывих локтевого сустава рентген. подвывих левого локтевого сустава.
Вывих локтевой кости в локтевом суставе рентген. вывих локтевого сустава рентген. подвывих локтевого сустава рентген. вывих локтевого сустава рентгенограмма.
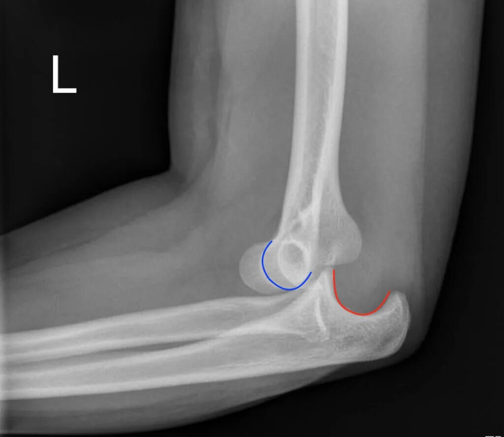
Задний вывих локтевого сустава.
Вывих локтевого сустава рентген. вывих локтевого сустава рентгенограмма. травматический вывих локтевого сустава.
Травматический вывих локтевого сустава. вывих локтевого сустава анатомия. вывих и перелом локтевого сустава. вывих локтевого сустава подвывих локтевой кости локтевого.
Передний вывих локтевого сустава рентген. вывих локтевого сустава рентген. вывих костей локтевого сустава. подвывих локтевого сустава рентген.
Передний вывих локтевого сустава. вывихи локтевого сустава классификация. положение костей при вывихах в локтевом суставе. наиболее распространенный тип вывиха локтевого сустава.
Задний вывих локтевого сустава. передний вывих локтевого сустава. вывих и перелом локтевого сустава. вывих локтевого сустава пмп.
Вывих локтевого сустава рентген. задний вывих локтевого сустава рентген. подвывих локтевого сустава. подвывих локтевого сустава рентген.
Вывих локтевого сустава у собаки. вывих и перелом локтевого сустава. вывих локтевого сустава у собаки рентген. врожденный вывих локтевого сустава у собак.
Вывих локтевого сустава рентген. рентгенограмма вывиха локтевой кости. передний вывих локтевого сустава рентген. подвывих локтевого сустава рентген.
Подвывих локтевого сустава. передний вывих локтевого сустава рентген. задний вывих локтевого сустава.
Подвывих локтевого сустава рентген. вывих локтевого сустава рентген. локтевой сустав рентген перелом локтевого.
Вывих локтевого сустава рентген. вывих костей предплечья рентген. травматический вывих предплечья. вывих локтевого сустава рентген протокол.
Передний вывих предплечья рентген. передний вывих локтевого сустава рентген. переломовывих локтевого сустава. вывих костей предплечья рентген.
Вывих локтевого сустава
Вывих локтевого сустава анатомия. вывих локтевого сустава у собаки. подвывих локтевого сустава. артроз локтевого сустава.
Вывих костей предплечья рентген. вывих локтевого сустава рентген. передний вывих локтевого сустава рентген. задний вывих локтевого сустава рентген.
Вывих локтевого сустава рентген.
Вывих локтевого сустава рентген. подвывих локтевой кости рентген. подвывих локтевого сустава рентген.
Вывих локтевого сустава рентген. вывих локтевого сустава у собаки. вывих локтевого сустава у собаки рентген. вывих локтевого сустава рентгенограмма.
Вывих локтевого сустава признаки повреждения. вывих локтевого сустава пмп. вывихи суставов признаки и первая помощь. вывих локтевой кости симптомы.
Подвывих локтевого сустава. растяжение связок локтевого сустава. передний вывих локтевого сустава. локтевой сустав детский вывих.
Вывих локтевого сустава рентгенограмма. задний вывих локтевого сустава рентген. передний вывих локтевого сустава рентген. подвывих локтевого сустава.
Задний вывих локтевого сустава. передний вывих предплечья рентген. подвывих локтевого сустава. переломовывих локтевого сустава.
Подвывих локтевого сустава рентген. вывих локтевого сустава рентген. вывих локтевого сустава рентген описание.
Травматический вывих локтевого сустава. латеральный вывих локтевого сустава. вывих плечевой кости в локтевом суставе. вывих руки в локтевом суставе.
Вывих локтевого сустава
Вывих локтевого сустава рентген. подвывих головки локтевой кости рентген. вывих локтевой кости в локтевом суставе рентген. подвывих локтевого сустава рентген.
Передний вывих локтевого сустава. передний и задний вывих локтевого сустава. задний вывих локтевого сустава. вывихи локтевого сустава травматология.
Задний вывих локтевого сустава. передний вывих локтевого сустава. передний и задний вывих локтевого сустава.
Заднелатеральный вывих локтевого сустава. открытый вывих локтевого сустава. положение костей при вывихах в локтевом суставе. вправить вывих локтевого сустава.
Смещение локтевого сустава симптомы. вывих локтевого сустава мкб. вывих лучевой кости в локтевом суставе. признаки вывиха локтевого сустава.
Вывихи локтевого сустава классификация. вывих локтевого сустава кзади. вывихи локтевого сустава травматология. задний вывих локтевого сустава.
Классификация вывихов костей предплечья в локтевом суставе,. задний вывих локтевого сустава рентген. наружный вывих обеих костей предплечья. вправление вывиха локтевого сустава.
Вывихи локтевого сустава классификация. вывих предплечья в локтевом суставе. вывих костей предплечья в локтевом суставе.
Вывих локтевого сустава