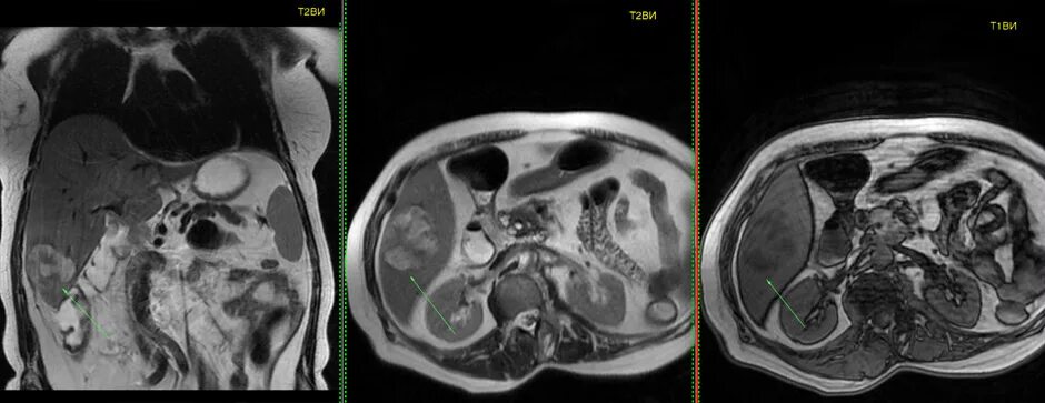
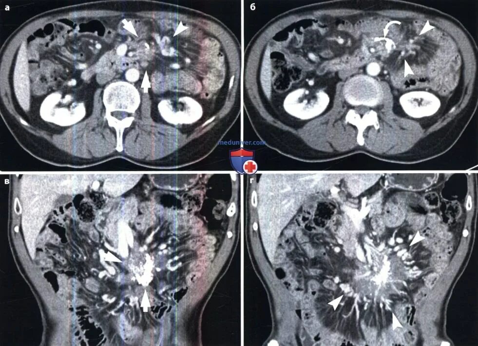
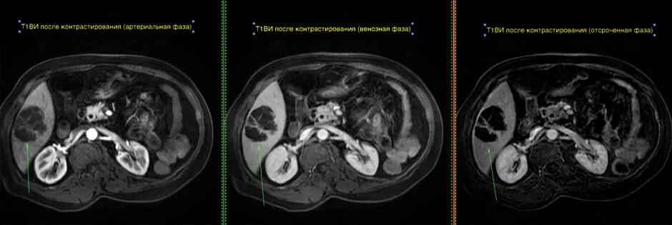
Мскт болюсное контрастирование. болюсное контрастирование при кт. кт с внутривенным болюсным контрастированием. болюсное контрастное усиление при кт.Компьютерная томография с болюсным контрастированием. кт с болюсным контрастированием что это. мскт болюсное контрастирование. спиральная компьютерная томография с болюсным контрастированием.Отечная форма панкреатита кт. кт признаки острого панкреатита. острый панкреатит кт с контрастированием. кт картина панкреонекроза.Томография с болюсным контрастированиемБолюсное контрастирование при кт брюшной полости. хемодектома забрюшинного пространства. кт с контрастом брюшной полости с болюсным контрастированием. эхинококкоз кт с контрастированием.Фазы контрастирования печени мрт. динамическое контрастирование печени мрт. фазы контрастирования при кт. кт с контрастом брюшной полости с болюсным контрастированием.Компьютерная томография с болюсным контрастированием. кт с болюсным контрастированием что это. кт с внутривенным болюсным контрастированием. болюсное контрастное усиление.Кт с болюсным контрастированием что это. компьютерная томография с болюсным контрастированием. методика болюсного контрастирования. кт обп с болюсным контрастированием.Компьютерная томография с болюсным контрастированием. кт перфузия головного мозга. методика болюсного контрастирования.Томография с болюсным контрастированиемТомография с болюсным контрастированиемКт брюшной полости аорты с контрастированием. кт почек с болюсным контрастированием. контрастирование при кт. контрастное усиление при кт.Томография с болюсным контрастированиемТомография с болюсным контрастированиемТомография с болюсным контрастированиемТомография с болюсным контрастированиемОментит кт. компьютерная томография пжж. кт с болюсным контрастированием панкреатит.Кт с болюсным контрастированием что это. компьютерная томография с болюсным контрастированием. кт брюшной полости презентация.Кт огк с контрастированием. скт огу с контрастированием. кт огк, обп с контрастированием. кт с внутривенным контрастированием.Кт с болюсным контрастированием и пэт кт. контрастное усиление при кт обп. кт с болюсным контрастированием что это.Томография с болюсным контрастированиемТомография с болюсным контрастированиемТомография с болюсным контрастированиемТомография с болюсным контрастированиемТомография с болюсным контрастированиемТомография с болюсным контрастированиемТомография с болюсным контрастированиемТомография с болюсным контрастированиемТомография с болюсным контрастированиемТомография с болюсным контрастированиемТомография с болюсным контрастированиемТомограмма брюшной полости кт. кт обп норма. кт брюшной полости и забрюшинного пространства. кт обп с контрастированием норма.Томография с болюсным контрастированиемКт с контрастированием почек онкология. кт ангиография почечных артерий. кт почек с контрастированием норма.Спиральный компьютерный томограф с болюсом. компьютерная томография с болюсным контрастированием. кт с внутривенным болюсным контрастированием.Кт головного мозга с контрастированием. мрт головного мозга с контрастом. кт с контрастом.Мрт обп с контрастом. мрт исследование с контрастированием. кт с контрастированием. кт брюшной полости с контрастом.Томография с болюсным контрастированиемКт с контрастированием брюшной полости контрастированием органов. кт почек с болюсным контрастированием. кт обп с болюсным контрастированием. томограмма брюшной полости кт.Кт ангиограмма. кт ангиография с контрастированием. кт-ангиография артерий нижних конечностей.