Удиви меня
Стадии одонтогенного остеомиелита
Подострая стадия остеомиелита челюсти. клиническая картина острого одонтогенного остеомиелита. подострая и хроническая стадии остеомиелита челюстей. подострая и хроническая стадия одонтогенного остеомиелита.
Хронический одонтогенный остеомиелит. причины перехода острого остеомиелита в хронический. одон огенный остеомиелит. хронического одонтогенного остеомиелита.
Клиническая картина острого одонтогенного остеомиелита включает. одонтогенный остеомиелит челюстей классификация. хронический остеомиелит классификация стоматология.
Клинические признаки острого остеомиелита:. симптомы острого одонтогенного остеомиелита. клиника острого одонтогенного остеомиелита. одонтогенный остеомиелит клиника.
Подострая и хроническая стадия одонтогенного остеомиелита. подострая стадия остеомиелита. подострая и хроническая стадии остеомиелита челюстей. подострая стадия остеомиелита челюсти.
Стадии одонтогенного остеомиелита
Первично хронический остеомиелит классификация. хронические формы остеомиелита классификация. хронические формы остеомиелита клиника. клинико-рентгенологические формы острого остеомиелита.
Стадии одонтогенного остеомиелита
Острая стадия одонтогенного остеомиелита. диагностика острого одонтогенного остеомиелита. фазы острого одонтогенного остеомиелита.
Хронический одонтогенный остеомиелит классификация. этиология одонтогенного остеомиелита челюстей.
Стадии одонтогенного остеомиелита
Стадии одонтогенного остеомиелита
Классификация хронического одонтогенного остеомиелита челюстей.. остеомиелит классификация этиология. острый остеомиелит челюсти классификация. хронический одонтогенный остеомиелит классификация.
Лечение острого одонтогенного остеомиелита челюсти. острая стадия одонтогенного остеомиелита. острая стадия остеомиелита лечение. острый одонтогенный остеомиелит клиника.
Стадии одонтогенного остеомиелита
Острая стадия одонтогенного остеомиелита челюстей классификация. дифференциальный диагноз одонтогенного остеомиелита. острая стадия одонтогенного остеомиелита челюстей. дифференциальная диагностика острого остеомиелита челюсти.
Одонтогенный остеомиелит клинические проявления. клиническая картина острого одонтогенного остеомиелита. формы хронического одонтогенного остеомиелита. острая фаза остеомиелита.
Стадии одонтогенного остеомиелита
Хронический одонтогенный остеомиелит клиника. формы хронического одонтогенного остеомиелита. острый гематогенный остеомиелит челюстей.
Стадии одонтогенного остеомиелита
Стадии одонтогенного остеомиелита
Стадии одонтогенного остеомиелита
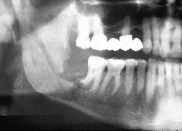
Одонтогенный остеомиелит челюсти. остеомиелит верх челюсти. хронический остеомиелит челюсти снимок. одонтогенного остеомиелита челюстей.
Одонтогенного остеомиелита. одонтогенный остеомиелит нижнечелюстной. остеомиелит верхней челюсти кт. острый остеомиелит верхней челюсти.
Стадии одонтогенного остеомиелита
Остеомиелит челюстных костей классификация. хронический остеомиелит челюсти клиника. острый одонтогенный остеомиелит челюстей клиника. для хронического одонтогенного остеомиелита признаки.
Стадии одонтогенного остеомиелита
Лечение острого одонтогенного остеомиелита. острая форма одонтогенного остеомиелита. острая стадия остеомиелита челюсти. клинические проявления острого одонтогенного остеомиелита.
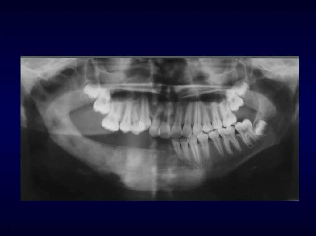
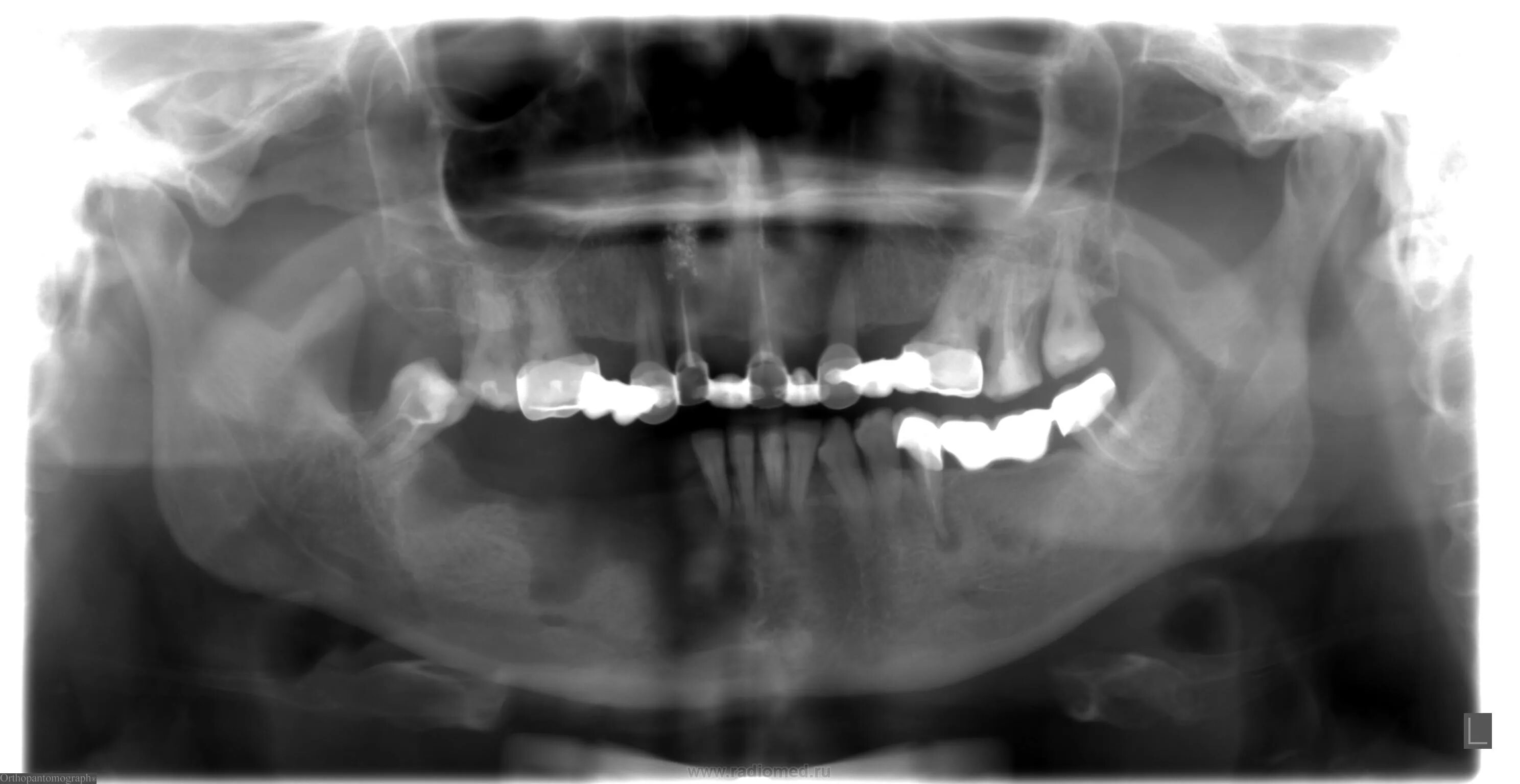
Подострая одонтогенного остеомиелита.. одонтогенный остеомиелит рентген. остеомиелит челюсти рентген. одонтогенный остеомиелит челюсти рентген.
Стадии одонтогенного остеомиелита
Стадии одонтогенного остеомиелита
Острый одонтогенный остеомиелит классификация. классификация одонтогенного остеомиелита. стоматология остеомиелит классификация. остеомиелит по распространенности.
Хронического одонтогенного остеомиелита. хронический одонтогенный остеомиелит. диагностика хронического одонтогенного остеомиелита. консервативное лечение хронического остеомиелита.
Одонтогенный остеомиелит рентген. хронический остеомиелит челюсти. клиника острого остеомиелита нижней челюсти. муфтообразный инфильтрат.
Стадии одонтогенного остеомиелита
Стадии одонтогенного остеомиелита
Стадии одонтогенного остеомиелита
Этиология одонтогенного остеомиелита. остеомиелит этиология патогенез. острый остеомиелит классификация стоматология. одонтогенный остеомиелит этиология классификация патогенез.
Стадии одонтогенного остеомиелита
Стадии одонтогенного остеомиелита