Удиви меня
Спицы при переломе кисти
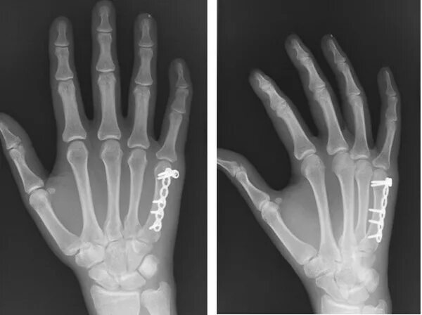
Спицы при переломе 5 пястной кости. спица при переломе пястной кости кисти. остеосинтез пястной кости спицами. остеосинтез пятой пястной кости кисти.
Спицы киршнера перелом кисти. вывих трапециевидной кости кисти рентген. спицы в лучезапястном суставе.
Перелом первой пястной кости перелом беннета. остеосинтез 1 пястной кости. перелом проксимальной фаланги 1 пястной кости. остеосинтез перелома пястных костей кисти.
Остеосинтез спицей перелом пястной кости. остеосинтез 2 пястной кости спицами. остеосинтез пястной кисти. перелом беннета остеосинтез.
Спицы при переломе кисти
Остеосинтез пястной кости спицами. перелом пястной кости спицы. перелом 3 пястной кости левой руки.
Спицы при переломе кисти
Спицы при переломе кисти
Спицы при переломе кисти
Спицы при переломе кисти
Перелом лучевой запястной кости. на переломе костную мозоль на лучевой кости. перелом лучезапястного сустава рентген. перелом лучевой кости рентген.
Спицы при переломе кисти
Остеосинтез 2 пястной кости. остеосинтез 5 пястной кости. остеосинтез 5 пястной кости кисти спицей. остеосинтез пястной кости спицами.
Спицы при переломе кисти
Остеосинтез перелома лучевой кости. оскольчатый перелом лучевой кости руки пластина. остеосинтез пластина при переломе лучевой кости. остеосинтез перелома лучевой кости пластиной.
Остеосинтез фаланги пальца. остеосинтез пястной кости спицами. остеосинтез фаланг пальцев кисти. остеосинтез пястных костей винтами рентген.
Спицы при переломе кисти
Спицы при переломе кисти
Перелом 5 пястной кости кисти. остеосинтез 2 пястной кости. остеосинтез 5 пястной кости. спица киршнера перелом 5 пястной кости.
Перелом ладьевидной кости остеосинтез. остеосинтез пястной кости спицами. перелом 1 пястной кости остеосинтез спицами. остеосинтез ладьевидной кости кисти.
Спицы киршнера перелом кисти. хирургическая спица киршнера. спицы киршнера пястная кость. спицы киршнера рентген.
Перелом беннета репозиция. репозиция операции костей. операция при переломе беннета. репозиция костей кисти.
Спицы при переломе кисти
Остеосинтез 2 пястной кости. перелом 1 пястной кости остеосинтез. перелом второй пястной кости остеосинтез. остеосинтез пятой пястной кости кисти.
Спицы при переломе кисти
Спицы при переломе кисти
Спицы при переломе кисти
Спицы при переломе кисти
Спицы при переломе кисти
Перелом 4 пястной кости. перелом пястной кости гипс. перелом пястной кости кисти гипс. перелом 1 пястной кости гипс.
Спицы при переломе кисти
Спицы при переломе кисти
Перелом ладьевидной кости остеосинтез. остеосинтез пястной кости спицами. остеосинтез ладьевидной кости спицами. остеосинтез при переломе ладьевидной кости кисти.
Спицы при переломе кисти
Спицы при переломе кисти
Спицы при переломе кисти
Спицы при переломе кисти
Спицы при переломе кисти
Спицы при переломе кисти
Перелом большого пальца на руке. повязка на мизинец руки при переломе. перелом верхней фаланги безымянного пальца. открытый перелом пальца кисти.
Спицы при переломе кисти
Спицы при переломе кисти
Спицы при переломе кисти
Остеосинтез 2 пястной кости. остеосинтез фаланги пальца. остеосинтез фаланги пальца кисти.
Спицы при переломе кисти
Остеосинтез 2 пястной кости. остеосинтез проксимальной фаланги. остеосинтез фаланги пальца кисти. остеосинтез фаланг пальцев кисти.
Остеосинтез пястных костей спицами. остеосинтез 5 пястной кости спицей киршнера. спицы при переломе 5 пястной кости. остеосинтез пястной кости спицами.
Спицы при переломе кисти
Спицы при переломе кисти
Ладьевидная кость руки перелом. ладьевидная кость кисти костная киста. ладьевидная кость кисти перелом гипс. перелом ладьевидной кости иммобилизация.
Спицы в первой пястной кости. спицы при переломе пястных костей. спицы при переломе пястной кости.
Спицы при переломе кисти
Ладьевидная кость кисти перелом. ладьевидная кость руки перелом. перелом ладьевидной кости операция. остеосинтез ладьевидной кости кисти.
Остеосинтез пятой пястной кости. оскольчатый перелом пястной кости. остеосинтез пятой пястной кости кисти. мкб перелом пястных костей кисти.
Спицы при переломе кисти
Спицы при переломе кисти
Спицы киршнера перелом руки. остеосинтез пястной кости спицей киршнера. остеосинтез пястной кости спицами. остеосинтез пястных костей спицами киршнера.
Остеосинтез 5 плюсневой кости. перелом пятой пястной кости спицы.
Спицы при переломе кисти
Спицы при переломе локтевого сустава.
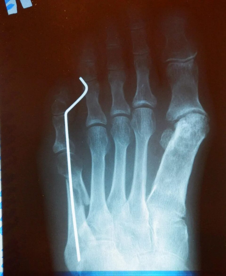
Перелом плюсневой кости кисти. субкапитальный перелом 4 плюсневой кости. остеосинтез 5 плюсневая кость. остеосинтез плюсневой кости спицами.
Спицы при переломе кисти
Скелетное вытяжение при переломах пальцев стопы. скелетное вытяжение при переломе. скелетное вытяжение тазобедренного сустава. скелетное вытяжение при переломе голени.
Спицы при переломе кисти
Спицы при переломе кисти
Аппарат илизарова на пястную кость. остеосинтез пястной кости спицами. остеосинтез фаланги пальца кисти спицами. перелом фаланги остеосинтез.
Спицы при переломе кисти
Остеосинтез лучезапястного сустава. остеосинтез костей кисти. остеосинтез лучевой кости спицами. спицы киршнера рентген.
Аппарат илизарова на кисть. аппарат илизарова на лучевую кость. аппарат илизарова при переломе лучевой кости. аппарат илизарова на лучезапястный сустав.
Спицы при переломе кисти
Спицы при переломе кисти
Аппарат илизарова лучезапястного. аппарат илизарова при переломе лучевой кости. аппарат илизарова на голеностоп.
Рентген кисти перелом пястной кости.
Спицы при переломе кисти
Спицы при переломе кисти
Спицы при переломе кисти
Скелетное вытяжение плюсневых костей. скелетное вытяжение для остеосинтеза. скелетное вытяжение при переломе плюсневых. вытяжение костей при переломах скелетное.
Спицы при переломе кисти
Спицы при переломе кисти