Удиви меня
Сколько лечится перелом со смещением
Сколько лечится перелом со смещением
Закрытый перелом со смещением рентген. перелом галеацци рентген. переломы со смещением отломков рентген. рентген перелома кости со смещением.
Берцовая кость открытый перелом. перелом ноги со смещением рентген. перелом костей голени рентген. открытый перелом со смещением рентген.
Остеосинтез лучевой кости пластиной. перелом диафиза локтевой кости. перелом локтевой кости рентген. перелом диафиза лучевой кости.
Остеосинтез перелома бедренной кости. перелом бедра диафиза бедренной кости. перелом диафиза бедренной кости рентген.
Перелом диафиза лучевой кости рентген. перелом диафиза локтевой кости. перелом диафиза локтевой кости рентген. перелом диафиза лучевой и локтевой кости.
Перелом берцовая кость кости. перелом голени берцовая кость. после перелома берцовой кости.
Перелом галеацци остеосинтез. перелом галеацци рентген. переломовывих галеацци остеосинтез. оскольчатый перелом предплечья.
Межберцовый синдесмоз голеностопного сустава. малоберцовая кость перелом. перелом малой берцовой кости рентген. разрыв дистального межберцового синдесмоза.
Вколоченный перелом лучевой кости рентген. сгибательный перелом лучевой кости. перелом диафиза лучевой кости гипс. оскольчатый перелом лучезапястного сустава.
Перелом малой берцовой кости. малоберцовая кость перелом. перелом голени и малоберцовой кости. перелом диафиза малой берцовой кости.
Перелом потта остеосинтез. остеосинтез перелома дюпюитрена. перелом лодыжки с остеосинтезом. внутрикостный остеосинтез лодыжки.
Перелом предплечья со смещением рентген. рентген перелома кости предплечья. внесуставной перелом предплечья. перелом предплечья рентген остеосинтез.
Малая берцовая кость перелом. перелом малой берцовой кости. косой перелом малоберцовой кости. трещина малой берцовой кости.
Перелом галеацци остеосинтез. перелом галеоации остеосинтез. оскольчатый перелом лучевой кости. сгибательный перелом лучевой кости.
Сколько лечится перелом со смещением
Синдесмоз голеностопного. межберцовый синдесмоз рентген. трехлодыжечный перелом. рентген перелом лодыжки вывих стопы.
Остеосинтез двухлодыжечный перелом. накостный остеосинтез лодыжки. перелом медиальной лодыжки рентген. остеосинтез лодыжки рентген.
Остеосинтез двухлодыжечный перелом. трёхлодыжечный перелом остеосинтез. остеосинтез наружной лодыжки. перелом лодыжки с остеосинтезом.
Чрезмыщелковый перелом плечевой кости рентген. чрезмыщелковый перелом плечевой. диафизарный перелом плечевой кости. чрезмыщелковый перелом локтевой кости.
Сколько лечится перелом со смещением
Винтообразный перелом берцовой кости. берцовая кость перелом со смещением. винтообразный перелом рентген. перелом большеберцовой кости рентген.
Накостный остеосинтез голени рентген. остеосинтез н/3 бедренной кости пластиной. надмыщелковый перелом плечевой кости остеосинтез. экстрамедуллярный остеосинтез рентген.
Репозиция пястной кости. перелом лучевидной кости запястья. шиловидный отросток на руке.
Гематома переломе локтевого отростка. открытый перелом локтевого отростка. открытый перелом лучевой и локтевой кости. суставной перелом локтевой.
Перелом голени, малая берцовая кость. перелом малой берцовой кости. перелом н3 малой берцовой кости. малая берцовая кость перелом операция.
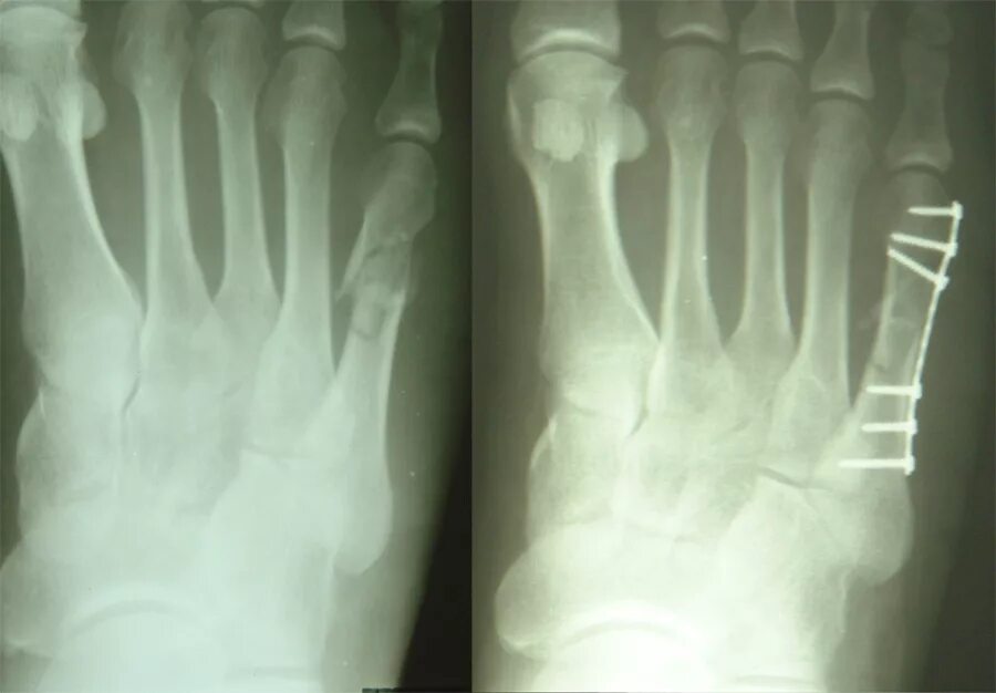
Перелом кости плюсны рентген. остеосинтез 5 плюсневой кости. рентген перелома 5 плюсневой кости. перелом джонса 5 плюсневой кости операция.
Сколько лечится перелом со смещением
Экстрамедуллярный остеосинтез голени. перелом большеберцовой и малоберцовой кости. операция остеосинтез берцовой кости. оскольчатый перелом большеберцовой кости.
Перелом диафиза бедренной кости клиника. открытый перелом диафиза бедренной кости. при переломе диафиза бедренной кости. перелом диафиза бедренной кости операция.
Интрамедуллярный остеосинтез лучевой кости. остеосинтез переломов локтевой кости. экстрамедуллярный остеосинтез предплечья. перелом костей предплечья остеосинтез.
Оскольчатый перелом бедра схема. оскольчатый перелом бедра со смещением. осколочный перелом бедренной кости. осколочный перелом нижней трети бедра.
Перелом лодыжки с остеосинтезом. перелом наружной лодыжки малоберцовой кости. супинационный перелом лодыжки. перелом лодыжки малоберцовой кости.
Эпиметафиза лучевой кости. неправильно сросшийся перелом лучевой кости. саркома лучевой кости руки. перелом крючковидной кости со смещением.
Сколько лечится перелом со смещением
Перелом лодыжки с остеосинтезом. перелом потта остеосинтез. остеосинтез двухлодыжечный перелом. перелом лодыжки снимок с остеосинтезом.
Сросшийся перелом кости. сращение кости после перелома. сросшаяся кость после перелома. кость срастается при переломе.
Сколько лечится перелом со смещением
Остеосинтез лучевой кости пластиной. остеосинтез перелома лучевой кости. остеосинтез дистального метаэпифиза лучевой кости. остеосинтез перелома лучевой кости пластиной.
Перелом локтевой кости руки. перелом предплечья со смещением.
Оскольчатый перелом большеберцовой кости рентген. многооскольчатый перелом большеберцовой кости рентген. безоскольчатый перелом большеберцовой кости. оскольчатый перелом голени.
Перелом пяточной кости гипсование. оскольчатый перелом пяточной кости. оскольчатый перелом пяточной кости рентген. внесуставной перелом пяточной кости.
Метафизарный перелом голени. перелом обеих костей голени рентген. перелом диафиза большеберцовой кости травматология. перелом большеберцовой и малоберцовой кости.
Перелом дистального метаэпифиза лучевой кости рентген. оскольчатый перелом лучевой кости. перелом дмэ лучевой кости. перелом лучевой кости рентген.
Остеосинтез трехлодыжечный перелом. остеосинтез двухлодыжечный перелом. перелом голеностопа остеосинтез. остеосинтез перелома дюпюитрена.
Перелом локтевой кости рентген. перелом костей предплечья рентген. диафизарный перелом лучевой кости. оскольчатый перелом локтевой кости.
Перелом 2 костей предплечья со смещением. перелом 2х костей предплечья со смещением. перелом костей предплечья в средней трети. перелом обеих костей предплечья а с\3 со смещением отломков.
Перелом хирургической шейки плечевой кости со смещением отломков. остеосинтез плечевого сустава. перелом хирургической шейки плечевой кости остеосинтез. абдукционный перелом шейки плечевой кости рентген.
Винтообразный перелом большеберцовой. винтообразный перелом большеберцовой кости рентген. винтообразный перелом берцовой кости. винтообразный перелом голени рентген.
Перелом лодыжки с остеосинтезом. остеосинтез берцовой кости. остеосинтез перелома берцовой кости. перелом голени остеосинтез.
Перелом локтевого отростка рентген. перелом локтевого сустава рентген.
Перелом наружной лодыжки малоберцовой кости. апикальный перелом наружной лодыжки рентген. эпифизеолиз голеностопного сустава. апикальный перелом лодыжки.
Экстрамедуллярный остеосинтез ключицы. остеоснтезперелом ключицы рентген. перелом ключицы остеосинтез пластиной. накостный остеосинтез левой ключицы.
Оскольчатый перелом ключицы. многооскольчатый перелом ключицы. поднадкостничный перелом ключицы рентген. оскольчаптый перелом ключиц.
Краевой внутрисуставной перелом. внутрисуставные и внесуставные переломы. внутрисуставной перелом бедренной кости. внутрисуставной оскольчатый перелом.
Перелом лучевой запястной кости. перелом запястной кости лучевой кости. перелом отростка лучевой кости. перелом лучевой запястной кости со смещением.
Трехлодыжечный перелом рентген. остеосинтез перелома дюпюитрена. перелом голени рентген остеосинтез. перелом лодыжки рентген.
Остеосинтез мыщелка бедренной кости. перелом нижней трети диафиза бедренной кости рентген. перелом диафиза бедренной кости операция. перелом дистального бедра остеосинтез.
Перелом 5 плюсневой кости со смещением. перелом джонса 5 плюсневой кости без смещения. перелом пястной кости стопы.
Перелом лодыжки по веберу. изолированный перелом это.
Перелом медиальной лодыжки рентген. супинационный перелом лодыжки. остеосинтез наружной лодыжки рентген. супинационный перелом лодыжки рентген.
Алгоритм чтения рентгенограмм переломов костей. трещина перелом трубчатых костей. описание перелома на рентгене.
Перелом лодыжки с остеосинтезом. остеосинтез двухлодыжечный перелом. перелом голеностопа остеосинтез. внутрикостный остеосинтез лодыжки.
Дисторсия голеностопного сустава. перелом лодыжки растяжение связки. гипсование голеностопного сустава.
Остеосинтез при переломе плечевой кости. остеосинтез средней трети плечевой кости. перелом диафиза плечевой кости остеосинтез. остеосинтез шейки плеча рентген.
Изолированный перелом диафиза лучевой кости. перелом руки диафиза локтевой кости. перелом диафиза локтевой кости. перелом нижней трети диафиза локтевой кости.