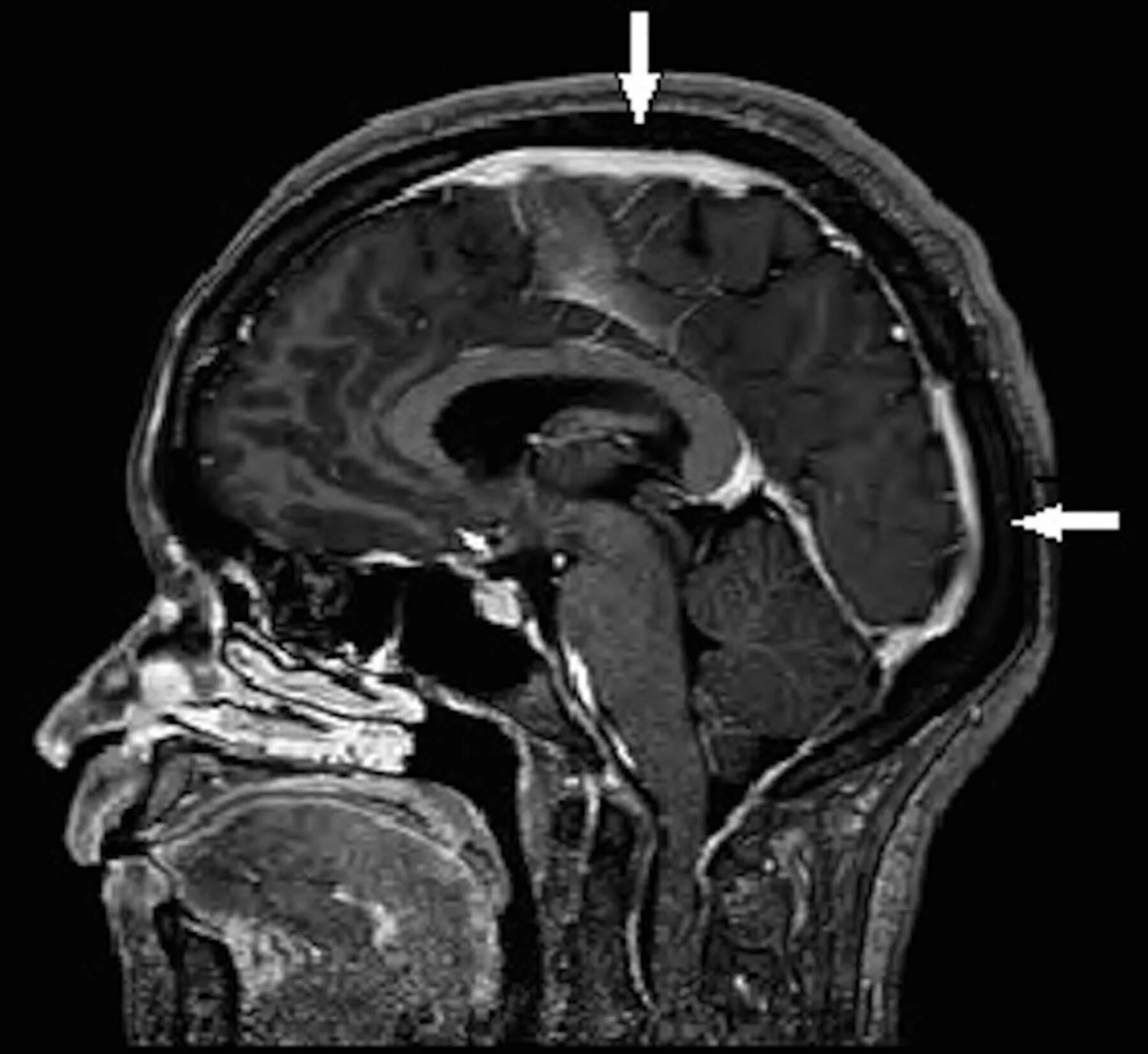
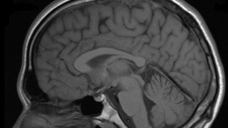
Расширенный субарахноидального конвекситального пространства
Расширенный субарахноидального конвекситального пространстваМрт головного мозга расширение субарахноидального пространства. расширение субарахноидальное конвекситальное пространство. расширение субарахноидального пространства у детей на мрт. субарахноидальное конвекситальное пространство расширено на кт.Расширение субарахноидальное конвекситальное пространство. мрт головного мозга расширение субарахноидального пространства. расширение наружных ликворных пространств головного мозга на мрт. расширение ликворных пространств головного мозга мрт.Расширенный субарахноидального конвекситального пространстваРасширенный субарахноидального конвекситального пространстваПодпаутинное субарахноидальное пространство. расширение субарахноидального пространства мозжечка. переднее субарахноидальное пространство спинного мозга. синдром арнольда-киари 1 типа.Расширенный субарахноидального конвекситального пространстваЦистерны подпаутинного пространства головного мозга. циркуляция ликвора анатомия схема. твердая мозговая оболочка головного мозга схема. субарахноидальное пространство топография.Расширенный субарахноидального конвекситального пространстваСубарахноидальное пространство головного мозга норма. подпаутинное субарахноидальное пространство. цистерны мозжечка анатомия. расширение субарахноидального конвекситального пространства норма.Субарахноидальное пространство мрт. конвекситальное субарахноидальное пространство. цистерны подпаутинного пространства головного мозга. субдуральное и субарахноидальное пространства.Расширение субарахноидального пространства кт. субарахноидальные пространства сужены.Расширенный субарахноидального конвекситального пространстваКонвекситальное субарахноидальное кровоизлияние кт. конвекситальные субарахноидальные пространства. локальное расширение субарахноидального пространства. локальное субарахноидальное кровоизлияние.Расширенный субарахноидального конвекситального пространстваРасширенный субарахноидального конвекситального пространстваРасширенный субарахноидального конвекситального пространстваРасширенный субарахноидального конвекситального пространстваМрт головного мозга расширение субарахноидального пространства. локальное расширение субарахноидального пространства. расширение субарахноидального пространства задней черепной ямки. субарахноидального конвекситального пространства.Расширенный субарахноидального конвекситального пространстваРасширение субарахноидального конвекситального пространства норма. ликворная киста лобной доли на кт.Расширенный субарахноидального конвекситального пространстваРасширенный субарахноидального конвекситального пространстваАрахноидальные пространства мозжечка. мрт головного мозга расширение субарахноидального пространства. расширение субарахноидальное конвекситальное пространство. расширение субарахноидальных пространств в лобно - теменных отделах..Расширенный субарахноидального конвекситального пространстваРасширение субарахноидальное конвекситальное пространство. мрт головного мозга расширение субарахноидального пространства. расширение конвекситальных субарахноидальных пространств симптомы. расширение субарахноидального пространства кт.Подпаутинное субарахноидальное пространство. субарахноидальное пространство головного мозга норма. расширение конвекситальных субарахноидальных пространств симптомы. субдуральное и субарахноидальное пространства.Расширение субарахноидального пространства на мрт. субарахноидальное конвекситальное пространство расширено на кт. расширение субарахноидальных пространств на кт. субарахноидальное пространство мрт.Расширенный субарахноидального конвекситального пространстваМрт головного мозга расширение субарахноидального пространства. гипоплазия червя мозжечка кт. локальное расширение субарахноидального пространства мрт. арахноидальная киста лобной доли.Субарахноидальное пространство головного мозга. расширение субарахноидального пространства. переднее субарахноидальное пространство. переднее и заднее субарахноидальное пространство.Расширенный субарахноидального конвекситального пространстваРасширенный субарахноидального конвекситального пространстваРасширенный субарахноидального конвекситального пространстваРасширенный субарахноидального конвекситального пространстваРасширенный субарахноидального конвекситального пространстваДиапедезное кровоизлияние в субарахноидальном пространстве. субарахноидальная гематома. расширение субарахноидального конвекситального пространства.Субарахноидальное пространство мрт. конвекситальные субарахноидальные пространства кт.Расширение субарахноидального пространства кт. субарахноидальное пространство кт головного мозга. расширение субарахноидального пространства на мрт. расширение ликворных пространств на кт.Субарахноидальное пространство мрт. субарахноидальное пространство головного мозга. цистерны субарахноидального пространства. субарахноидальное пространство мозжечка.Мозг анатомия ликвор. цистерна латеральной ямки большого мозга. цистерны подпаутинного пространства головного мозга. оболочки головного мозга синусы и цистерны.Мрт головного мозга расширение субарахноидального пространства. головной мозг сагиттальный срез мрт. расширение субарахноидального пространства на мрт. субарахноидальное пространство норма мрт.Расширенный субарахноидального конвекситального пространстваКонвекситальные субарахноидальные пространства расширены. локальное расширение субарахноидального пространства. расширение субарахноидального пространства головного мозга.Конвекситальные субарахноидальные пространства. расширение субарахноидального пространства кт. расширение субарахноидального пространства головного мозга. расширение субарахноидального пространства на мрт.Расширенный субарахноидального конвекситального пространстваРасширенный субарахноидального конвекситального пространстваРасширенный субарахноидального конвекситального пространстваСубарахноидальные пространства умеренно расширены. расширение субарахноидальных конвекситальных пространств. степени расширения субарахноидального пространства у взрослых. субарахноидальное пространство расширено.Расширенный субарахноидального конвекситального пространстваРасширенный субарахноидального конвекситального пространстваРасширенный субарахноидального конвекситального пространстваМрт головного мозга заключение. заключение мрт картина. расширение субарахноидального пространства головного мозга. субарахноидального конвекситального пространства.Расширение субарахноидального пространства кт. арахноидит головного мозга на кт. расширение ликворных пространств на кт. расширение субарахноидального конвекситального пространства норма.Расширенный субарахноидального конвекситального пространстваРасширение субарахноидального пространства кт. субарахноидальное конвекситальное пространство расширено на кт. субарахноидальное пространство мозга. расширение субарахноидального пространства на мрт.Цистерны подпаутинного пространства. подпаутинное субарахноидальное пространство. паутинная оболочка мозга анатомия. расширение подпаутинного пространства головного мозга.Цистерны подпаутинного пространства головного мозга. конвекситальное субарахноидальное пространство. субарахноидальное пространство спинного мозга. подпаутинное субарахноидальное пространство.Субарахноидальное конвекситальное пространство лобные. конвекситальные субарахноидальные пространства кт. конвекситальные ликворные пространства на кт. расширение субарахноидального пространства у лобных долей.Расширенный субарахноидального конвекситального пространстваРасширенный субарахноидального конвекситального пространстваРасширенный субарахноидального конвекситального пространстваСубарахноидальные кисты. расширение субарахноидального пространства кт. конвекситальные субарахноидальные пространства расширены. расширение субарахноидального пространства головного мозга.Расширенный субарахноидального конвекситального пространстваАрахноидальная ликворная киста мрт. расширение субарахноидального пространства на мрт. арахноидальная киста гипофиза мрт. конвекситальная арахноидальная ликворная киста мрт.Расширенный субарахноидального конвекситального пространстваРасширенный субарахноидального конвекситального пространстваРасширенный субарахноидального конвекситального пространстваРасширенный субарахноидального конвекситального пространстваРасширение ликворных пространств мрт. локальное расширение субарахноидального пространства мрт. расширение наружных ликворных пространств головного мозга на мрт. расширение субарахноидального пространства у детей на мрт.Мрт головного мозга расширение субарахноидального пространства. вентрикуломегалия боковых желудочков. посттравматическая гидроцефалия кт. расширение субарахноидальных пространств головного мозга у взрослых.Расширение субарахноидальное конвекситальное пространство. конвекситальные борозды расширены что это. субарахноидальные пространства мрт норма. расширение конвекситальных пространств.Расширенный субарахноидального конвекситального пространстваКт при субарахноидальном кровоизлиянии. кт головного мозга при субарахноидальном кровоизлиянии. субарахноидальное нетравматическое кровоизлияние лечение. мрт субарахноидального кровоизлияния.