Удиви меня
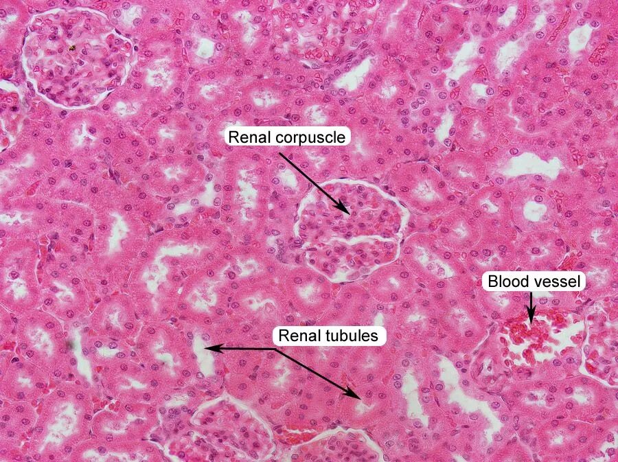
Почка человека препарат
Корковое вещество почки гистология препарат. строение мозгового вещества почки гистология. мозговое вещество почки гистология. строение почки гистология строение.
Гистологическое строение строение почки. корковое вещество почки гистология препарат. почка человека гистология препарат. строение почки гистология препарат.
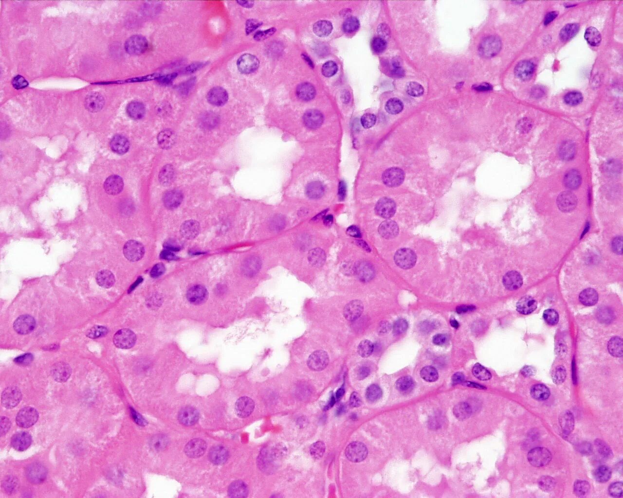
Канальцы почек гистология. выделительная система гистология препараты. почка микропрепарат гистология. почка гистология препарат.
Почка окраска гематоксилин-эозином. мозговое вещество почки гистология препарат. препарат «почка крысы», окраска гематоксилин-эозином, ув. х100. почка гематоксилин эозин.
Строение коркового вещества почки гистология. структуры коркового вещества почки гистология. мозговое вещество почки гистология препарат. гистологическое строение строение почки.
Почка человека препарат
Корковое вещество почки гистология препарат. почка окраска гематоксилин-эозином. почка крысы окраска гематоксилином и эозином. строение почки гистология препарат.
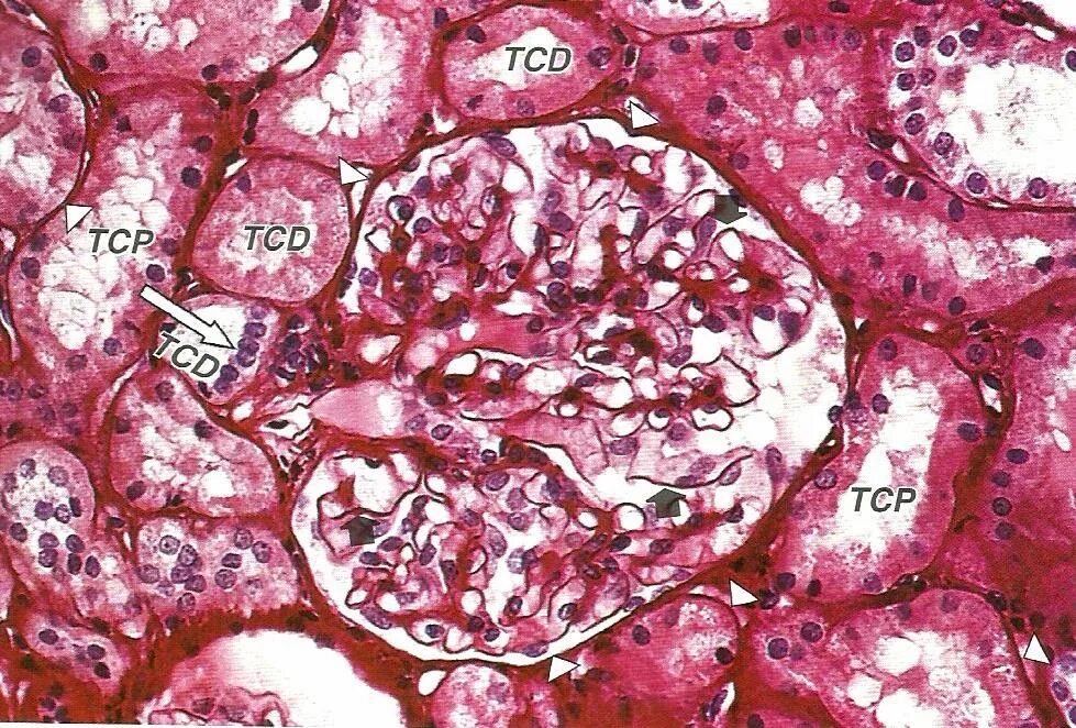
Нефрон гистология препарат. почка микропрепарат гистология. гистологический срез почки. гистология почки норма.
Почка окраска гематоксилин-эозином. мозговое вещество почки гистологический препарат. мозговое вещество почки гистология препарат. корковое и мозговое вещество почки препарат.
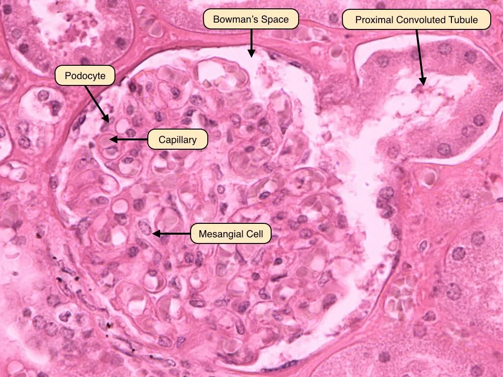
Корковое вещество почки гистология препарат. почечный клубочек гистология. строение почки гистология препарат. почка человека гистология препарат с подписями.
Гистологическое строение почки. корковое вещество почки гистология. строение почки гистология препарат. корковое вещество почки гистология препарат.
Гистологическое строение строение почки. корковое и мозговое вещество почки препарат. гистологическое строение почки. корковое вещество почки гистология препарат.
Почка человека препарат
Почка окраска гематоксилин-эозином. препарат - почка. окраска гематоксилин-эозином.. мозговое вещество почки окраска гематоксилин эозин. корковое вещество почки гистология препарат.
Почка человека гистология препарат. почка крысы препарат гистология. срез почки гистология. корковое вещество почки гистология препарат.
Гистологическое строение почки. строение мозгового вещества почки гистология. почка препарат по гистологии. эмбриональная почка гистология.
Нефрон гистология препарат. канальцы почек гистология. нефрон почки гистология препарат. нормальная почка гистология.
Почка микропрепарат гистология. почка человека гистология препарат. почка крысы гистологические препараты. почка крысы гистология.
Корковое вещество почки гистология. почечный клубочек гистология. строение почки гистология. почка гистология препарат.
Нефрон гистология препарат. канальцы почек гистология. каналец почки гистология. строение почки гистология препарат.
Пиелонефрит почек макропрепарат. почечнокаменная болезнь макропрепарат. пиелонефрит патанатомия макропрепараты. патанатомия лептоспироз почки.
Гистология почки микрофотографии. анатомия и гистология почки. почечные канальцы гистология. почка под микроскопом гистология.
Срез почки гистология. канальца почки гистология. почка гистология препарат. почка микропрепарат гистология.
Петля генле нефрона гистология. петля генле гистология. петля генле гистология препарат. петля генле на препарате почки гистология.
Почка окраска гематоксилин-эозином. почка крысы окраска гематоксилином и эозином. окрашивание гематоксилин-эозином в гистологии. мозговое вещество почки гистологический препарат.
Почка человека препарат
Почечный клубочек гистология. нефрон гистология препарат. почечынй клуюок гистолгия. строение почечного клубочка гистология.
Нормальный клубочек почки гистология. сосудистый клубочек почки гистология. эпителий канальцев почки гистология. почечный клубочек гистология препарат.
Почечные канальцы гистология. нефрон гистология препарат. почка микропрепарат гистология. гистология канальцев почки.
Почка человека препарат
Почка человека препарат
Почка человека препарат
Почка человека препарат
Почка человека препарат
Однослойный кубический эпителий канальцев почки. однослойный кубический эпителий канальцев почки кролика. канальцы почки эпителиальная ткань-. однослойный кубический эпителий канальцев почки гистология препарат.
Почка человека препарат
Почка человека препарат
Почка человека препарат
Надпочечник гистология препарат. надпочечник микропрепарат гистология. срез надпочечника гистология. надпочечник окраска гематоксилином и эозином.
Люпус нефрит макропрепарат. волчаночный нефрит макропрепарат. почка в норме макропрепарат.