Удиви меня
Периферическая микроангиопатия головного
Церебральная амилоидная микроангиопатия мрт. очаги микроангиопатии головного мозга что это такое. амилоидная ангиопатия сосудов головного мозга. очаги микроангиопатии в белом веществе головного мозга.
Церебральная микроангиопатия мрт. церебральная микроангиопатия кт. очаги микроангиопатии головного мозга что это такое. амилоидная ангиопатия мрт.
Церебральная микроангиопатия стадии. симптомы микроангиопатии. клинические проявления микроангиопатии. микроангиопатия сосудов головного мозга.
Проявление микроангиопатии головного. микроангиопатия головного мозга лекарства. при микроангиопатиях характерно поражение. микроангиопатия симптомы.
Церебральная микроангиопатия головного мозга кт. гипертензивная микроангиопатия. микроангиопатия кт.
Симптомы микроангиопатии. церебральной микроангиопатии. микроангиопатия головного мозга.
Периферическая микроангиопатия головного
Симптомы микроангиопатии. церебральной микроангиопатии. церебральная сосудистая микроангиопатия.
Микроангиопатия головного мозга. дегенеративная микроангиопатия. церебральная микроангиопатия кт.
Очаги микроангиопатии головного мозга мрт. церебральная амилоидная микроангиопатия мрт. амилоидная ангиопатия сосудов головного мозга. амилоидоз головного мозга мрт.
Диабетическая микроангиопатия.
Церебральная микроангиопатия кт. церебральная микроангиопатия мрт. очаги микроангиопатии головного мозга что это такое. гипертензивная микроангиопатия.
Микроангиопатия кт. микроангиопатия сосудов головного мозга. церебральная микроангиопатия кт. очаги микроангиопатии головного мозга что это такое.
Церебральная микроангиопатия кт. очаг микроангиопатии мрт. очаги микроангиопатии в белом веществе головного мозга. церебральная микроангиопатия мрт.
Симптомы микроангиопатии. микроангиопатия головного мозга. микроангиопатия сахарный диабет.
Микроангиопатия патанатомия. церебральной микроангиопатии. симптомы микроангиопатии. тромботическая микроангиопатия.
Периферическая микроангиопатия головного
Симптомы микроангиопатии. микроангиопатия головного мозга что это такое симптомы.
Амилоидная микроангиопатия. церебральная микроангиопатия мрт. дегенеративная микроангиопатия. гипертензивная микроангиопатия мрт.
Периферическая микроангиопатия головного
Церебральная амилоидная ангиопатия головного мозга.. амилоидная микроангиопатия на мрт. микроангиопатия кт. церебральная амилоидная ангиопатия мрт.
Клинические проявления микроангиопатии. церебральной микроангиопатии. микроангиопатия головного мозга лекарства.
Мр-картина микроангиопатии головного мозга. образование в боковом желудочке головного мозга мрт. глиоз картинки. очаги микроангиопатии головного мозга что это такое.
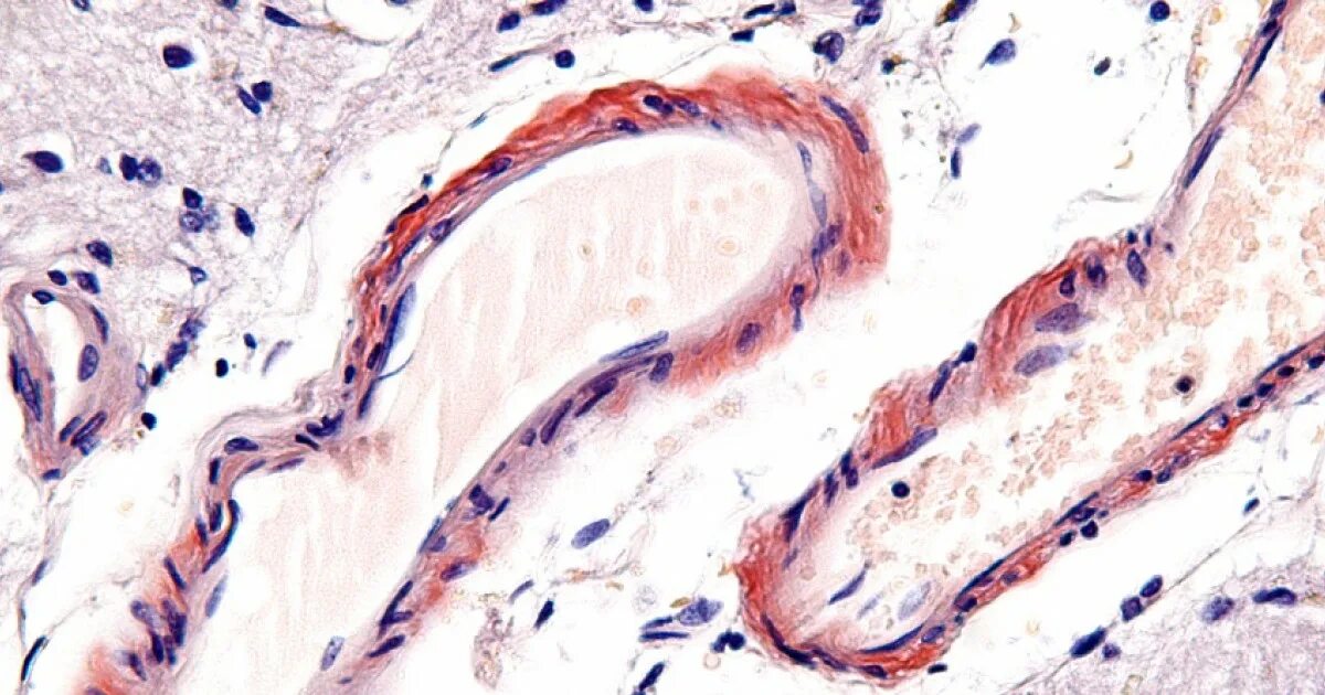
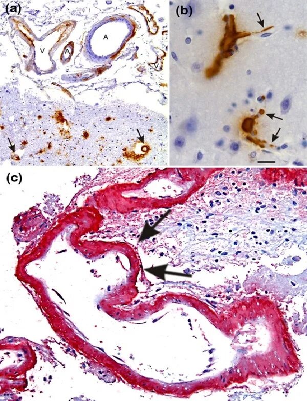
Церебральная ангиопатия. амилоидная микроангиопатия церебральная. амилоидная ангиопатия сосудов головного мозга. амилоидная ангиопатия мрт.
Церебральной микроангиопатии. микроангиопатии головного мозга что это такое.
Церебральная микроангиопатия кт. церебральная микроангиопатия мрт. церебральная микроангиопатия головного мозга что это такое. очаги микроангиопатии головного мозга что это такое.
Дегенеративная микроангиопатия. микроангиопатия головного мозга. проявление микроангиопатии. церебральная микроангиопатия головного мозга что это такое.
Периферическая микроангиопатия головного
Периферическая микроангиопатия головного
Тромботическая микроангиопатия. тма в акушерстве. микроангиопатическая гемолитическая анемия. микроангиопатический гемолиз.
Мрт признаки церебральной микроангиопатии. церебральная амилоидная микроангиопатия мрт. проявление церебральной микроангиопатии что это такое. церебральная микроангиопатия кт.
Церебральная микроангиопатия кт. церебральная микроангиопатия мрт. очаги микроангиопатии головного мозга единичные. очаги микроангиопатии головного мозга что это такое.
Клинические проявления микроангиопатии. тромботическая микроангиопатия. микроангиопатия почек.
Тромботическая микроангиопатия. микроангиопатия мозга. церебральной микроангиопатии.
Периферическая микроангиопатия головного
Клинические проявления микроангиопатии. церебральной микроангиопатии. развитие диабетических микроангиопатий. проявление микроангиопатии головного.
Периферическая микроангиопатия головного
Периферическая микроангиопатия головного
Хронические осложнения сд. поздние осложнения сд. сд с поражением органов мишеней. диабетическая микроангиопатия осложнения.
Амилоидоз головного мозга мрт. амилоидная микроангиопатия церебральная. амилоидная ангиопатия кт. очаги микроангиопатии головного мозга мрт.
Периферическая микроангиопатия головного
Периферическая микроангиопатия головного
Тромботическая микроангиопатия гистология. микроангиопатия синдром. диагностические критерии тромботических микроангиопатий. механизм развития микроангиопатий.
Причины развития микроангиопатий. микроангиопатия причины. церебральная микроангиопатия.
Периферическая микроангиопатия головного
Периферическая микроангиопатия головного
Церебральная амилоидная ангиопатия мрт головного мозга. микроангиопатия сосудов головного мозга. микроангиопатия головного мозга мрт. гипертензивная микроангиопатия мрт.
Периферическая микроангиопатия головного
Мр-картина микроангиопатии головного мозга. церебральная микроангиопатия fazekas 1. гипертензивная микроангиопатия. церебральная микроангиопатия мрт.
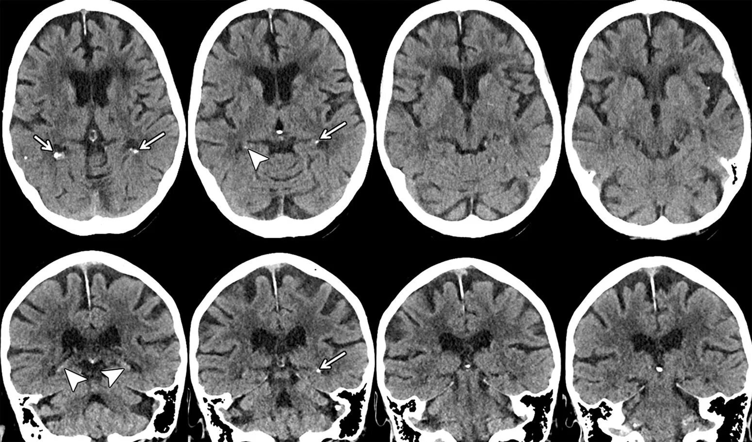
Церебральные микрокровоизлияния мрт. амилоидная ангиопатия кт. церебральная микроангиопатия головного мозга мрт. mrt swi головной мозг.
Периферическая микроангиопатия головного
Периферическая микроангиопатия головного
Церебральная амилоидная ангиопатия головного мозга.. церебральная амилоидная микроангиопатия мрт. церебральная амилоидная ангиопатия мрт головного мозга. венозная ангиома головного мозга мрт.
Микроангиопатия сосудов сетчатки. венозная ангиопатия сетчатки. гипертоническая ангиопатия сетчатки.
Микроангиопатия гистология. микроангиопатия головного мозга. очаги микроангиопатии головного мозга что это такое. микроангиопатия лечение.
Диабетическая микроангиопатия презентация. симптомы микроангиопатии. клинические проявления микроангиопатии.
Церебральная микроангиопатия мрт. глиоз на мрт. микроангиопатия кт. гипертоническая микроангиопатия мрт.
Периферическая микроангиопатия головного
Церебральная амилоидная ангиопатия головного мозга.. амилоидная микроангиопатия на мрт. амилоидная ангиопатия кт. очаг микроангиопатии мрт.
Периферическая микроангиопатия головного
Микроангиопатия мозга на кт. микроангиопатия кт. макро и микроангиопатии. мрт признаки микроангиопатии головного мозга.
Диабетические микроангиопатии. диабетическая микроангиопатия характеризуется. патогенез диабетических микроангиопатий.
Периферическая микроангиопатия головного
Симптомы микроангиопатии. церебральная микроангиопатия.
Периферическая микроангиопатия головного
Амилоидная ангиопатия мрт. амилоидная микроангиопатия церебральная. церебральная микроангиопатия головного мозга мрт. амилоидная микроангиопатия на мрт.
Хроническая недостаточность мозгового кровообращения. хроническая недостаточность кровообращения головного мозга. недостаточность кровоснабжения головного мозга. хроническая недостаточность кровоснабжение головного мозга.
Церебральная микроангиопатия. церебральная микроангиопатия головного. микроангиопатии головного мозга что это такое. дисциркуляторная микроангиопатия головного мозга что это такое.
Церебральная амилоидная ангиопатия головного мозга.. микроангиопатии сосудов головного мозга. церебральная амилоидная ангиопатия мрт головного мозга.
Периферическая микроангиопатия головного
Мультифокальная глиобластома. супратенториальные очаги. супратенториальный глиоз. супратенториальные опухоли головного мозга.
Амилоидная ангиопатия кт. церебральная микроангиопатия fazekas 1. амилоидная ангиопатия сосудов головного мозга. микроангиопатия головного мозга на кт.
Церебральная микроангиопатия кт. амилоидная ангиопатия кт. амилоидная микроангиопатия церебральная. церебральная амилоидная ангиопатия мрт головного мозга.
Микроангиопатии головного мозга что это такое. очаги микроангиопатии головного мозга что это такое. церебральный ангиоспазм. церебральная микроангиопатия кт.
Микроангиопатия кт. церебральная микроангиопатия мрт. микроангиопатия головного мозга на кт. церебральная микроангиопатия кт.