Удиви меня
Перелом это разрушение мягких
Перелом это разрушение мягких тканей костей. перелом это трещины сколы раздробление. перелом это трещины сколы раздробление костей.
Перелом это разрушение мягких тканей костей. мел может кости разрушать.
Открытый и закрытый перелом. переломы костей открытые и закрытые. перелом закрытого типа.
Переломы костей могут быть. переломы костей закрытый открытый.
Раздробленные переломы. раздробленный перелом кости.
Открытый перелом первичный и вторичный. первично и вторично открытый перелом. первично открытые и вторично открытые переломы.
Перелом это разрушение мягких
Презентация на тему переломы костей. травматические переломы.
Перелом это ответ на тест. тест по обж по переломам. перелом это разрушение мягких тканей костей.
Перелом это разрушение мягких
Комбинированный перелом. вывихи по происхождению. комбинированные переломы.
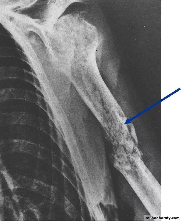
Перелом хирургической шейки плеча. повреждение мягких тканей и костей у детей методичка.
Остеопороз кисти рентген. остеопороз костей кисти снимок. остеопороз костей запястья на рентгене. перелом кисти осложнения.
Признаки перелома кости. клинические проявления переломов. признаками перелома конечности являются:. симптомы перелома костей.
Открытые и закрытые передома. открытые и закрытые переломы. открытый перелом кости. схема открытого перелома.
Перелом это нарушение целостности. полный и неполный перелом. перелом костей определение.
Переломы по целостности кожных покровов. виды переломов по целостности кожного покрова.
Патологический перелом. патологический перелом кости. патологические переломы костей. патологический перелом головки бедренной кости.
Травмы позвоночника и таза. различные переломы позвоночника. первая помощь при спинномозговой травме. перелом позвоночника с повреждением спинного мозга.
Патологический перелом. патологический перелом кости. патологические переломы костей. травматические и патологические переломы.
Перелом с захождением отломков рентген. центральный и периферический отломок при переломе. патологическая подвижность костных отломков. типы смещения отломков при переломах.
Открытый перелом голени статус локалис. переломы костей закрытый открытый. открытый перелом локальный статус. открытые и закрытые передома.
Переломы по целостности кожных покровов. открытые и закрытые переломы. открытый перелом кости.
Открытые переломы доклад. презентация на тему открытый перелом.
Рентгенограмма патологический перелом бедра. метастазы в бедренной кости рентген. патологический перелом бедренной кости метастазы. патологический перелом остеомиелит бедра.
Перелом стопы фиксация. фиксация конечностей при переломах.
Перелом кости для презентации. повреждение костной ткани. закрытые повреждения мягких тканей.
Травматические и патологические переломы. рентгенологические симптомы перелома кости. патологические переломы костей миелома. патологический перелом кости.
Переломы костей презентация.
Разрушение мягких тканей костей это. замещение хрящей на кости. у кита кости или хрящи. травмы мягких тканей и костей лицевого скелета презентация.
Остеопороз большеберцовой кости рентгенограмма. остеопороз перелом большеберцовой кости. остеопороз на рентгене большеберцовой. остеосклероз голени рентген.
Перелом это разрушение мягких
Открытый и закрытый перелом. характеристика открытого и закрытого перелома. открытые и закрытые повреждения.
Симптоматика перелома кости. переломы косте конечностей. открытые и закрытые передома.
Открытый перелом первичный и вторичный. перелом это нарушение целостности. первично открытые и вторично открытые переломы.
Признаки перелома конечности. признаки открытого и закрытого перелома. основные симптомы перелома костей конечностей. признаки закрытого перелома ноги.
Эпифизарные переломы кости. краевой внутрисуставной перелом. рентген внутрисуставной перелом коленного. 1. эпифизарный внутрисуставной перелом..
Презентация на тему переломы. переломы конечностей презентация. переломы костей презентация. презентация на тему переломы костей.
Перелом это разрушение мягких
Открытый оскольчатый перелом. переломы по тяжести поражения.
Перелом костей лучевой кости. перелом локтевого отростка локтевого сустава. гематома переломе локтевого отростка. перелом проксимального отдела локтевой кости.
Перелом кости - частичное или полное нарушение целостности кости. перелом — это нарушение целостности кости. переломы презентация по хирургии.
Презентация на тему переломы. открытый перелом презентация.
Перелом это разрушение мягких
Рентгенологические признаки перелома кости. деструкция кости рентгенологические признаки. рентгенологические признаки перелома. линия перелома плоскостей.
Перелом без смещения отломков.
Перелом лучевой кости смита и колеса. перелом лучевой кости в типичном месте коллеса. перелом смита лучевой кости рентген. сгибательный перелом лучевой кости смита.
Полный и не полный передом. неполные переломы костей. неполный перелом кости.
Переломы костей презентация.
Перелом это разрушение мягких
Лучевая диагностика патологического перелома. травматический вывих плечевой кости диагноз. патологические переломы костей. патологический перелом кости.
Закрытый перелом признаки. симптомы закрытого перелома. закрытые переломы признаки.
Типы переломов костей конечностей. переломы виды переломов симптомы. перелом его виды и признаки.
Перелом это разрушение мягких
Перелом это ответ на тест. симптом ступеньки при переломе.
Простые и сложные переломы. перелом это простыми словами. простой и сложный открытый перелом.
Алгоритм оказания первой помощи при переломах таза. перелом костей таза признаки первая помощь запрещенные действия. признаки перелома костей таза. оказание первой помощи при переломе костей таза.
Травматические переломы. травматические переломы костей. травматические и патологические переломы. открытые и закрытые переломы.
Переломы костей классификация травматология. классификация лечения переломов костей конечности. классификация переломов травматические патологические. классификация переломов плоских костей.
Перелом это разрушение мягких
Перелом это разрушение мягких
Кортикальный перелом шейки бедра. перелом шейки бедренной кости. виды переломов шейки бедренной кости. субкапитальный вколоченный перелом шейки бедра рентген.
Открытый перелом диафиза бедренной кости. бедренная кость перелом диафиза. перелом диафиза бедренной кости. перелом диафиза бедренной кости смещение отломков.
Переломы трубчатых костей. поперечные переломы костей. направление линии перелома.
Осложненные и неосложненные переломы. обширные повреждения мягких тканей. осложнения переломов костей.
Перелом определение виды. признаки открытого перелома.
Нарушение целостности кости в результате механического воздействия. перелом — это нарушение целостности кости. вывих нарушение целостности кости. вывих это нарушение целостности кости в результате.
Типы переломов костей конечностей. перелом трубчатой кости ноги. классификация костных отломков. классификация переломов нижних конечностей таблица.
Симптоматика перелома кости. открытые переломы костей конечностей, причины,. причины открытого перелома конечности. причины возникновения переломов костей.
Патологический перелом. патологический перелом кости. травматические и патологические переломы. патологические переломы костей.