Удиви меня
Патология узи эндометрии
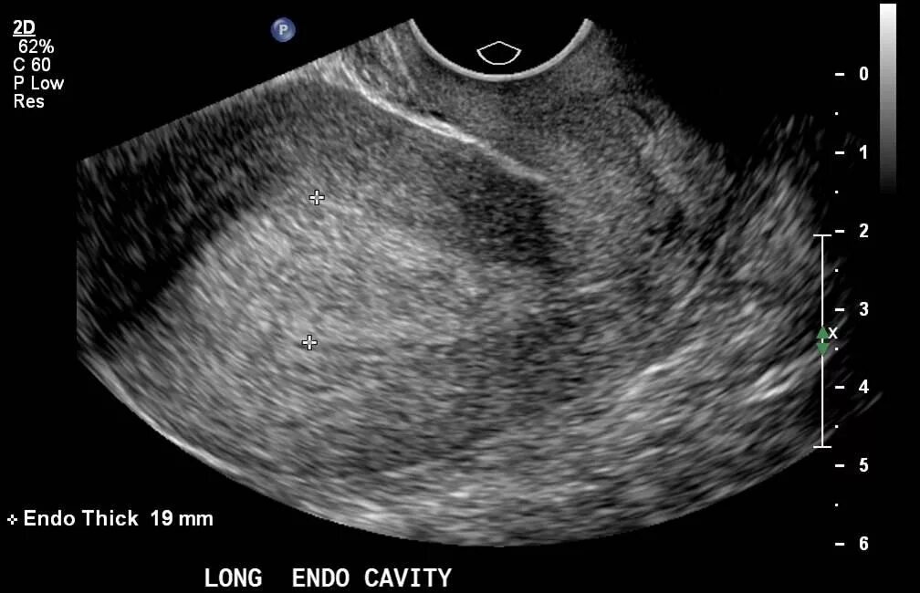
Гиперплазия эндометрия матки по узи. кистозная гиперплазия эндометрия на узи. железистая гиперплазия эндометрия по узи.
Гипоплазия эндометрия на узи. эндометрия матки узи гиперплазия эндометрия. железистая гиперплазия эндометрия узи. гиперплазия эндометрия узи критерии.
Гравидарный эндометрий на узи. гиперплазия эндометрия матки узи. патологии эндометрия на узи. гиперплазия эндометрия на узи.
Узи малого таза эндометрий. трехслойная структура эндометрия (узи). трехслойный эндометрий на узи.
Железистая гиперплазия эндометрия узи. гиперплазия эндометрия на узи. гиперпластические процессы эндометрия узи. атипическая гиперплазия эндометрия узи.
Патология узи эндометрии
Патология узи эндометрии
Патология узи эндометрии
Гиперплазия эндометрия на узи. атипическая гиперплазия эндометрия узи. гравидарный эндометрий на узи.
Патология узи эндометрии
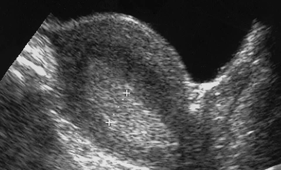
Гиперпластические процессы эндометрия узи. узи картина полипа эндометрия.
Карцинома эндометрия матки узи. гиперплазия эндометрия мфя. железистая гиперплазия эндометрия узи.
Патология узи эндометрии
Атипическая гиперплазия эндометрия узи. гиперплазия эндометрия на узи. эндометрия матки узи гиперплазия эндометрия. картина гиперплазии эндометрия на узи.
Эхограмма гиперплазии эндометрия. узи картина полипа эндометрия. полип и гиперплазия эндометрия на узи. гиперпластические процессы эндометрия узи.
Гиперэхогенный полип эндометрия. васкуляризация полипа эндометрия. патология эндометрия в менопаузу узи. узи матки постменопауза.
Атипическая гиперплазия эндометрия узи. железистая гиперплазия эндометрия узи. ультразвуковые критерии гиперплазии эндометрия. гиперпластические процессы эндометрия узи.
Патология узи эндометрии
Опухоль эндометрия на узи. патологии эндометрия на узи.
Гиперплазия эндометрия в постменопаузе узи. гиперплазия эндометрия в менопаузе на узи. атипическая гиперплазия эндометрия узи. атрофия эндометрия на узи.
Гиперэхогенный полип эндометрия. гиперэхогенный эндометрий на узи. трехслойный эндометрий на узи. хороший эндометрий на узи.
Патология узи эндометрии
Железистая гиперплазия эндометрия узи. полип и гиперплазия эндометрия на узи. гиперплазия эндометрия узи критерии. кистозная гиперплазия эндометрия на узи.
Гиперплазия эндометрия мфя. железистая гиперплазия эндометрия узи. эхограмма гиперплазии эндометрия. гиперплазия эндометрия узи критерии.
Атипическая гиперплазия эндометрия узи. гиперплазия эндометрия на узи. гиперплазия железисто кистозная эндометрит. железистая гиперплазия эндометрия узи.
Патология узи эндометрии
Гиперплазия эндометрия на узи. гиперпластические процессы эндометрия узи. эхограмма гиперплазии эндометрия. железистая гиперплазия эндометрия узи.
Эхограммы полип эндометрия. патологии эндометрия на узи.
Железистая гиперплазия эндометрия узи. картина гиперплазии эндометрия на узи. железистая гиперплазия на узи. гиперплазия эндометрия мфя.
Патология узи эндометрии
Эхограммы полип эндометрия. узи картина полипа эндометрия.
Узи признаки опухоль эндометрия. карцинома эндометрия матки узи. аденокарцинома эндометрия узи. эндометрий в менопаузе по узи.
Малигнизация аденоматозного полипа. гамартоматозные полипы. аденоматозный полип шейки матки гистология. атипическая гиперплазия эндометрия узи.
Послеродовый эндометрит узи. хронический эндометрит узи картина.
Гиперплазия эндометрия мфя. кистозная гиперплазия эндометрия на узи. эндометрия матки узи гиперплазия эндометрия. атипическая гиперплазия эндометрия узи.
Эхограммы полип эндометрия. полипы и синехии в матке на узи. патологии эндометрия на узи.
Эндометрий толщина 8мм . эхоструктура однородная гиперэхогенная. эндометрий фазы пролиферации на узи. ранняя фаза пролиферации эндометрия. фаза ранней секреции эндометрия на узи.
Ультразвуковые критерии гиперплазии эндометрия. гиперплазия эндометрия по узи. эндометрия в постменопаузе по узи.
Гиперплазия эндометрия матки узи. полипоз эндометрия на узи. карцинома эндометрия матки узи.
Патология узи эндометрии