Удиви меня
Крипты клетки
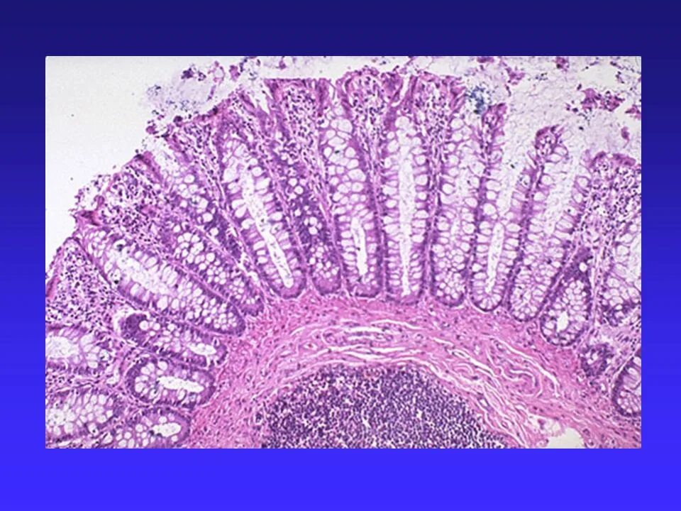
Клеточный состав эпителия тонкого кишечника. клетки эпителия тонкой кишки. типы клеток эпителия кишечника. функции каемчатых клеток кишечника.
Функция крипт толстого кишечника. каемчатые клетки крипт тонкой кишки. строение кишечной крипты гистология. строение кишечной крипты.
Крипты клетки
Эпителий крипт тонкой кишки. строение крипты толстой кишки. клетки эпителия крипт тонкой кишки. клеточный состав эпителия тонкой кишки.
Каемчатые клетки крипт тонкой кишки. клетки крипт тонкой кишки. крипты тонкой кишки гистология. столбчатые эпителиоциты тонкого кишечника.
Система ворсинка крипта гистология. кишечная ворсинка. строение кишечной крипты. строение ворсинки и крипты.
Строение кишечной крипты гистология. система ворсинка крипта гистология. кишечная крипта гистология. строение крипты тонкой кишки.
Крипты клетки
Система ворсинка крипта клетки панета. либеркюновы крипты. клетки панета гистология. строение ворсинки и крипты.
Система ворсинка крипта гистология. строение ворсинки гистология. строение кишечной ворсинки гистология. крипты и ворсинки гистология.
Система ворсинка крипта гистология. крипты и ворсинки гистология. гистофизиология системы крипта ворсинка тонкого. ворсинок и крипт гистофизиология.
Клетки толстого кишечника гистология препарат. строение эпителия толстого кишечника. крипты толстого кишечника гистология. толстая кишка эпителий гистология.
Крипты клетки
Строение крипты толстой кишки. схему гистологического строения стенки тонкого кишечника. микроскопическое строение толстой кишки. микроскопическое строение слизистой оболочки тонкого кишечника.
Кишечные крипты функция. кишечные железы либеркюна. функция крипт тонкого кишечника. строение клеток крипт тонкого кишечника.
Бокаловидные клетки кишечника гистология. бокаловидные клетки тонкой кишки гистология. бокаловидная клетка гистология. бокаловидные клетки препарат.
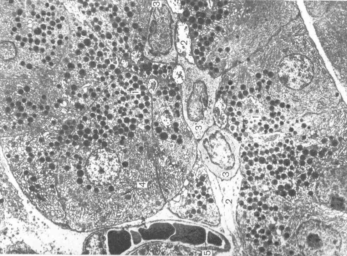
Крипта гистология клетки. клетки панета гистология. эпителий кишечника клетки панета. клетки панета эпителия крипт.
Собственная пластинка слизистой оболочки толстой кишки. толстая кишка окраска гематоксилин-эозином. слизистые клетки в толстой кишке. крипты толстого кишечника.
Железистый эпителий желудка простые трубчатые железы. железистые клетки. строение железистой клетки. слизистые железистые клетки.
Крипты клетки
Строение микроворсинки тонкого кишечника гистология. система ворсинка крипта гистология. крипты и ворсинки гистология. строение ворсинки тонкой кишки гистология.
Крипты клетки
Строение стенки тонкой кишки и ворсинки. строение кишечной ворсинки гистология. строение ворсинки тонкой кишки гистология. строение ворсинки и крипты.
Крипты и ворсинки гистология. строение ворсинки гистология. либеркюновы железы. строение кишечной крипты гистология.
Крипты клетки
Строение эпителия тонкой кишки. строение ворсинки тонкого кишечника эпителий. клетки эпителия ворсинок кишечника. строение ворсинки слизистой оболочки тонкого кишечника.
Крипты клетки
Крипты клетки
Крипты клетки
Крипты толстой кишки гистология. крипты толстого кишечника гистология. слизистая оболочка толстой кишки. окраска гематоксилином и эозином. поперечный срез тонкой кишки гистология.
Крипты клетки
Крипты клетки
Строение кишечной ворсинки гистология. оболочки тонкой кишки гистология. строение ворсинки кишечника гистология. ворсинки и крипты тонкой кишки.
Крипты клетки
Крипты клетки
Крипты толстой кишки гистология. крипты толстого кишечника гистология. кишечные ворсинки и крипты строение. эпителий крипт толстого кишечника.
Крипты клетки
Крипты клетки
Эпителий слизистой оболочки толстого кишечника. собственная пластинка толстой кишки. тонкая кишка слизистая оболочка эпителий. бокаловидные клетки в эпителии толстой кишки.
Крипты клетки
Крипты клетки
Крипты клетки
Крипты клетки
Крипты клетки
Бокаловидные клетки тонкой кишки. клетки ворсинки тонкой кишки гистология. типы клеток ворсинок и крипт тонкого кишечника. крипты и ворсинки гистология.
Крипты клетки
Слизистая оболочка толстой кишки. окраска гематоксилином и эозином. толстая кишка бокаловидные клетки. бокаловидные клетки толстой кишки гистология. мышечный слой слизистой оболочки.
Крипты клетки
Крипты клетки
Крипта тонкого кишечника гистология. крипты тонкой кишки гистология. крипты кишечника гистология. толстая кишка гистология крипты.
Крипты клетки
Крипты клетки
Ворсинки тонкого кишечника гистология. кишечная ворсинка гистология. крипты толстой кишки гистология. крипты толстого кишечника гистология.
Крипты клетки
Крипты клетки
Крипты клетки
Крипты клетки
Строение ворсинки и крипты. строение крипты тонкой кишки. ворсинки кишечника функции. строение ворсинки и крипты тонкой кишки.
Эпителий толстой кишки гистология. бокаловидные клетки тонкой кишки гистология. бокаловидная клетка гистология. слизистая толстой кишки гистология.
Крипты клетки
Крипты толстой кишки гистология. железистый эпителий кишечника. эпителий крипт толстого кишечника. эпителий толстой кишки гистология.
Крипты клетки
Крипты клетки
Крипты клетки
Строение ворсинки и крипты тонкой кишки. слизистая толстого кишечника образует. строение крипты тонкой кишки. эпителий крипт толстого кишечника.
Крипты клетки
Эпителий тонкой кишки гистология. клетки тонкой кишки гистология. строение ворсинки тонкой кишки гистология. слизистая оболочка толстой кишки гистология.
Крипты клетки
Крипты клетки
Строение крипты тонкой кишки. ворсинка слизистой оболочки тонкого кишечника. строение эпителия тонкого кишечника. ворсинки и микроворсинки тонкого кишечника.
Крипты клетки
Крипты клетки
Строение ворсинки и крипты. крипты и ворсинки гистология. гистофизиология системы крипта ворсинка тонкого отдела кишечника. система ворсинка крипта гистология.
Крипты клетки
Крипты клетки
Клетки панета электронограмма. электронограммы гистология. поджелудочная железа электронограмма. электронограмма ядра гистология.
Крипты клетки
Система ворсинка крипта гистология. крипты и ворсинки гистология. система ворсинка крипта тонкая кишка. крипты двенадцатиперстной кишки.
Крипты клетки
Крипты клетки
Крипты клетки
Слизистая оболочка матки эпителий. эпителий селезенки. крипты слизистой оболочки. слизистая оболочка внутренняя.