Удиви меня
Как распознать рак молочных желез
Симпирмы иака молочнойжелезы. симптомырак молочной железы. онкология груди симптомы.
Самодиагностика молочных желёз. самообследование молочных желез памятка. этапы самообследования молочной железы. опухоль молочной железы.
Симпирмы иака молочнойжелезы. онкология молочной железы. онкология молочной железы симптомы. опухоль молочной железы симптомы.
Опухоли молочных желез. заболевания молочной железы. молочная железа у женщин.
Как распознать рак молочных желез
Опухоль молочной железы симптомы. симпирмы иака молочнойжелезы. онкология грудной железы симптомы. признаки опухоли молочной железы.
Профилактика заболеваний молочной железы буклет. профилактика молочной железы у женщин. мифы об онкологии.
Симптомы эрак молочной железы. онкологические заболевания груди. онкология профилактика инфографика. онкология женской груди.
Первые признаки онкологии грудной железы у женщин. опухоль молочной железы симптомы. первые симптомы онкологии груди. онкология молочной железы симптомы.
Опухоль молочной железы симптомы. онкология грудной железы симптомы. признаки онкологии груди.
Дольки молочной железы на ощупь. опухоль груди симптом лимонной корки. лимонная корка молочной железы. онкология грудь лимоны.
Опухоль в груди у женщин симптомы. онкологические заболевания груди. первые признаки онкологии в женской груди. онкология молочных желез симптомы.
Симптомырак молочной железы. симптомы эрак молочной железы. признаки онкологии молочной железы.
Опухоль молочной железы. злокачественные новообразования молочных желез. раковая опухоль молочной железы. новообразования молочной железы онкология.
Онкология молочных желез. онкологические заболевания груди. женщины с онкологией молочной железы. онкология молочная железа у женщин.
Узловая мастопатия на маммографии. узловая форма мастопатии на маммографии. мастопатия молочной железы на маммографии. маммография снимки норма.
Маммография молочных желез объемное образование. опухоль молочной железы. онкология молочной железы. опухольмолочныйжелезы.
Опухоль молочной железы. онкология молочной железы.
Самодиагностика молочных желез. самообследование молочных желез. самообследование молочных желез памятка. самообследование молочных желёз.
Самообследование молочной железы. самообследование молочных желез у женщин. самообследование молочных желез в домашних. схема самообследования молочной железы.
Как распознать рак молочных желез
Патологии молочной железы. онкозаболевания молочной железы. опухоль молочной железы симптомы. ткань молочной железы.
Санбюллетень самообследование молочных желез. профилактика заболеваний молочной железы. самообследование молочных желез памятка. памятна саообследование молочных желез.
Локализация опухоли молочной железы. онкология молочной железы фазы развития. злокачественные опухоли молочной железы классификация. опухоль молочной железы стадии.
Диффкщные формы ракамолочной д. самодиагностика груди. изменения в груди при пременопаузе. изменение формы молочной железы.
Профилактика заболеваний молочной железы. методика самообследования молочной железы. профилактика заболеваний молочной железы у женщин. самообследование молочной железы памятка.
Профилактика молочной железы у женщин. стадии онкологических заболеваний молочной железы. причины развития рмж.
Коды заболеваний молочной железы. эпидемиология рмж. стадии онкологии молочной железы. онкология 1 степени молочной железы.
Опухоль в груди у женщин симптомы. опухоль молочной железы симптомы. опухоль молочной железы первой стадии.
Самообследование молочной железы. самообследование молочных желез схема. самодиагностика молочных желез. методика самообследования молочной железы.
Форма опухоли молочной железы. локализация опухоли молочной железы. уплотнение в молочной железе. расположение опухоли в молочной железе.
Опухоли молочных желез. симптомы эрак молочной железы. уплотнение в молочной железе. расположение опухоли в молочной железе.
Опухоль молочной железы симптомы. наружная опухоль молочной железы. симптомы рмж по стадиям. симптомы опухоли грудной.
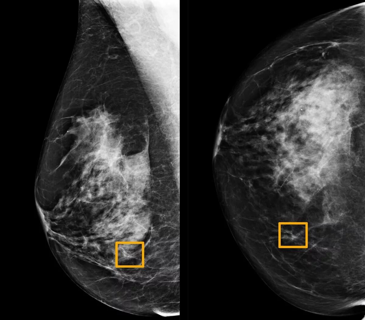
Карцинома молочной железы маммография. опухольмолочныйжелезы. опухоль молочного железа.
Мастит birads. фиброзно-кистозная мастопатия bi-rads 2. диффузный фиброаденоматоз молочных.
Опухоль молочной железы. онкология молочной железы. опухоль молочного железа. злокачественное новообразование молочной железы.
Фиброаденома на маммографии. лимфоузлы молочной железы маммография. доброкачественная опухоль фиброаденома. маммограмма доброкачественных опухолей.
Пневмокистография молочной железы. стадии молочной железы. опухоль молочной железы. опухоль молочной железы диагностика.
Фиброаденоматоз рентген маммография. узловая мастопатия маммограмма. протоковая карцинома молочной железы. болезнь педжета маммография.
Узловая форма фиброзно-кистозной мастопатии на узи. малигнизация фиброаденомы молочной железы. узловая форма мастопатии молочной железы. узловая мастопатия на узи молочной железы.