Удиви меня
Инфаркт миокарда легкого
Благоприятный исход инфаркта миокарда. исходы острого инфаркта миокарда. инфаркт миокарда осложнения и исходы. исход ишемического инфаркта.
Причины инфаркта легкого. инфаркт легкого симптомы. инфарктная пневмония симптомы. инфаркт легкого клинка.
Клинические проявления при инфаркте миокарда. клинико-лабораторные симптомы инфаркта миокарда. основные клинические проявления инфаркта миокарда. астматическая форма инфаркта.
Причины развития инфаркта легкого. инфаркт легкого симптомы. инфаркт легких симптомы.
Тэла инфаркт пневмония. септическая инфарктная пневмония.
Осложнения острого инфаркта миокарда классификация. осложнения острого периода инфаркта миокарда. осложнения острой стадии инфаркта миокарда. осложнения раннего периода острого инфаркта миокарда.
Ранние осложнения инфаркта миокарда. осложнения острого инфаркта миокарда. ранние осложнения острого инфаркта миокарда. ранние и поздние осложнения при инфаркте миокарда.
Классификация инфаркта миокарда абдоминальный. осложнения острого инфаркта миокарда. гемоперикард острого инфаркта миокарда. инфаркт миокарда лекция по терапии.
Причины развития инфаркта легкого. какова типичная локализация инфаркта легкого. инфаркт легкого симптомы. основная причина инфаркта легкого.
Инфаркт легкого симптомы. инфаркт легких симптомы. септические инфаркты легкого. лёгкий инфаркт признаки.
Отек легких при инфаркте миокарда неотложная помощь. отек легкого при инфаркте миокарда. отек легкий при инфаркте миокарда. отек легких при остром инфаркте миокарда.
Q образующий инфаркт миокарда. не q инфаркт миокарда. не q инфаркт миокарда на экг. острый инфаркт миокарда без зубца q.
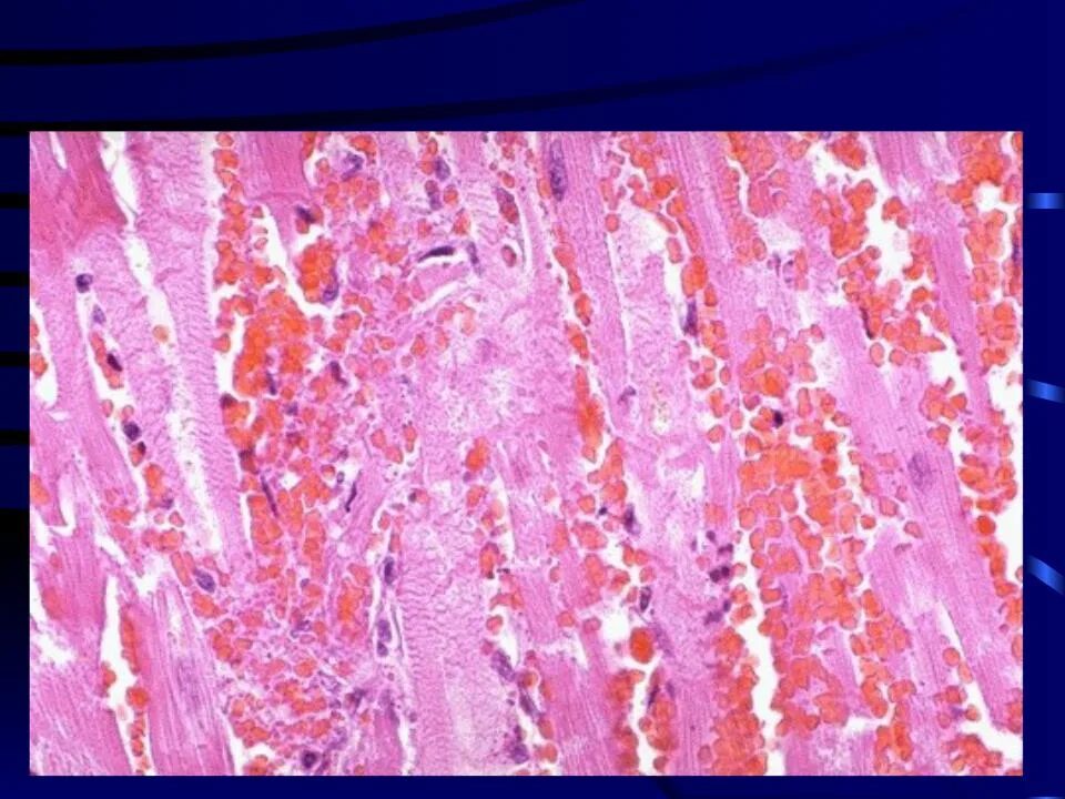
Инфаркт миокарда патанатомия микроскопия. геморрагический инфаркт патанатомия. геморрагическая инфильтрация миокарда. инфильтрация патанатомия.
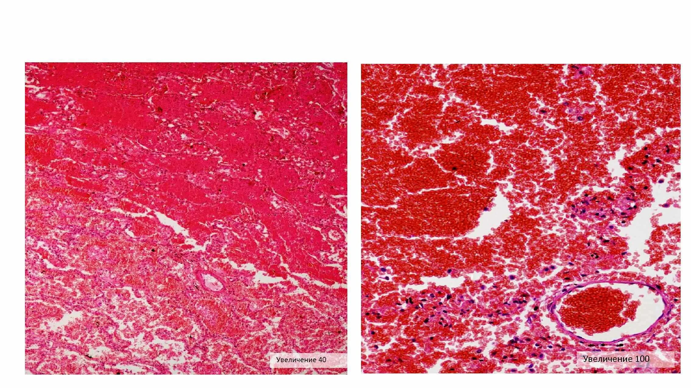
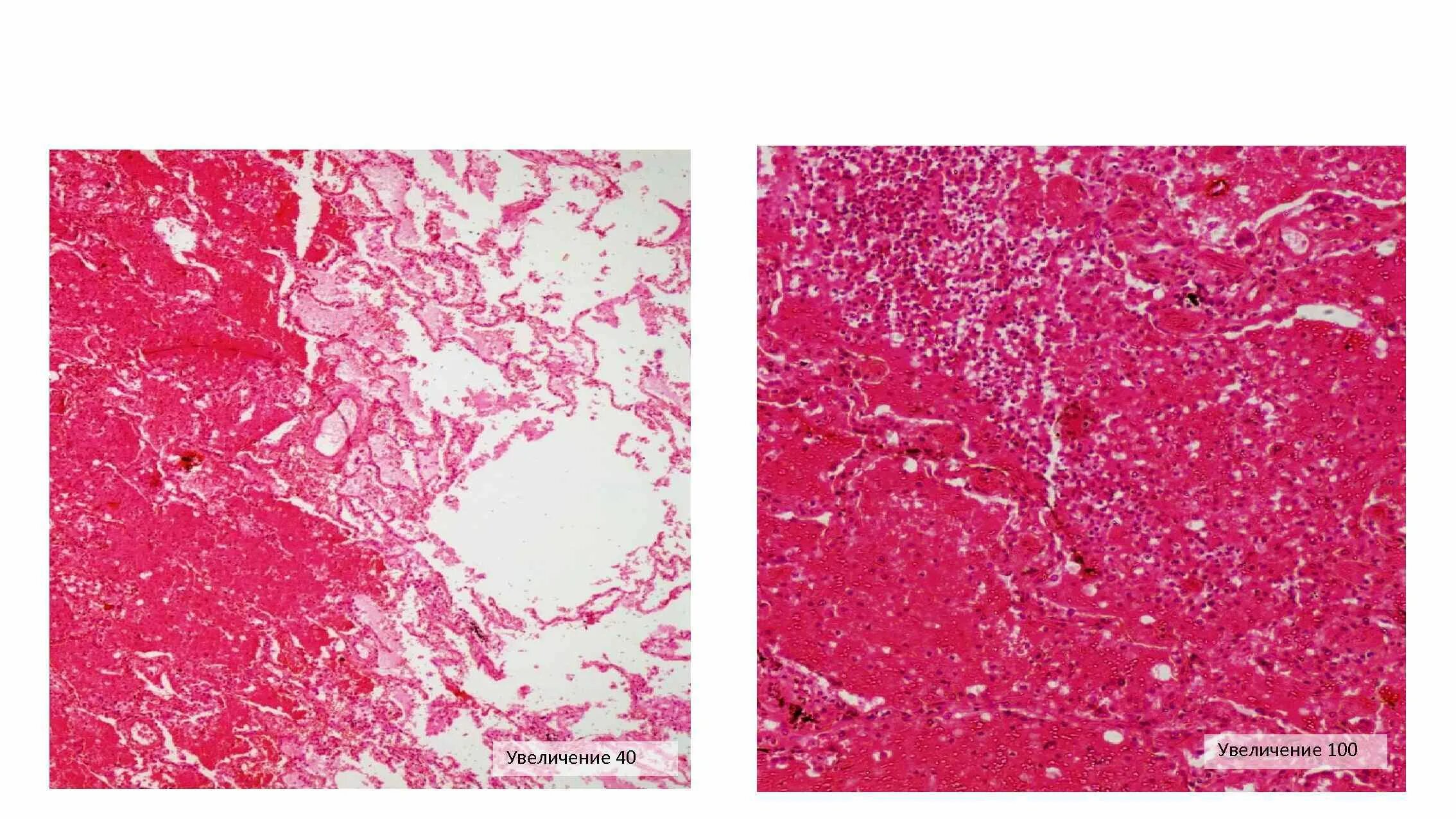
Геморрагический инфаркт легкого патанатомия. геморрагический инфаркт легкого микропрепарат. гемаррогический инфракт легкого патанат. инфаркт миокарда патологическая анатомия макропрепарат.
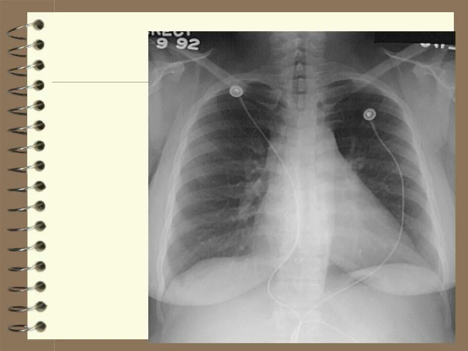
Инфаркт миокарда рентген. инфаркт миокарда на рентгенограмме. отёк лёгких на рентгенограмме. отек легкого рентген.
Инфаркт миокарда рентген. рентгенография при инфаркте миокарда. рентгенография грудной клетки при инфаркте миокарда. рентген при инфаркт миокаде.
Инфаркт-пневмония легкого рентген. инфаркт лёгкого на рентгенограмме. инфарктная пневмония на рентгенограмме. застойные явления в легких рентген.
Геморрагический инфаркт легкого макропрепарат. красный инфаркт легкого макропрепарат. некроз почки макропрепарат. геморрагический инфаркт легкого микропрепарат.
Осложнения инфаркта миокарда. осложнения острого инфаркта миокарда. осложнения инфакртам имокарда. осложнения острого периода инфаркта миокарда.
Геморрагический инфаркт легкого патанатомия. красный инфаркт легкого микропрепарат. геморрагический инфаркт легкого микропрепарат патанатомия. геморрагический инфаркт легкого макропрепарат.
Инфаркт легкого при тэла рентген. инфаркт-пневмония легкого рентген. инфаркт пневмония рентген. рентген при инфаркте легкого.
Симптоматика острого инфаркта миокарда. форма очага некроза при остром инфаркте миокарда. инфаркт миокарда классификация локализация. причины развития острого инфаркта миокарда.
Ибс инфаркт миокарда профилактика. инфаркт миокарда и ибс памятка. памятка реабилитация после инфаркта миокарда. infrakt miokart.
Инфаркт легкого на рентгенограмме. тэла пневмония рентген. инфаркт пневмония на рентгенограмме. инфаркт пневмония рентген.
Красный инфаркт легкого микропрепарат. стаз сосудов патологическая анатомия. инфаркт миокарда патологическая анатомия макропрепарат. геморрагический инфаркт легкого патанатомия.
Анемический инфаркт почки микропрепарат. анемический инфаркт почки препарат. ишемический инфаркт почки патанатомия. патанатомия препарата инфаркт почки.
Красный инфаркт легкого микропрепарат. ишемический инфаркт миокарда макропрепарат. геморрагический инфаркт легкого микропрепарат патанатомия. геморрагический инфаркт легкого гематоксилин эозин.
Инфаркт легкого при тэла рентген. тэла пневмония рентген. рентгенография при тэла. тромбоэмболия легочной артерии рентген.
Инфаркт легкого клинические рекомендации. причины развития инфаркта легкого. инфаркт легкого симптомы.
Геморрагический инфаркт легкого. геморрагический инфаркт легкого макропрепарат. геморрагический инфаркт лёгких микропрепарат. геморрагический инфаркт легкого микропрепарат патанатомия.
Причины инфаркта миокарда. факторы вызывающие инфаркт миокарда. причины возникновения миокарда. инфаркт причины возникновения.
Инфаркт миокарда патологическая анатомия макропрепарат. ишемический инфаркт селезенки гистология. инфаркт миокарда патанатомия. анемический инфаркт почки макропрепарат.
Обширный инфаркт миокарда.
Красный геморрагический инфаркт легкого. инфаркт миокарда патологическая анатомия макропрепарат. геморрагический инфаркт легкого патанатомия. геморрагический инфаркт лёгкого препарат.
Инфаркт пневмония рентген. пневмония при тэла рентген. тэла инфаркт пневмония. тэла инфарктная пневмония.
Перенесенный инфаркт миокарда пример диагноза. клинический диагноз при инфаркте миокарда. критерии постановки диагноза острого инфаркта миокарда. инфаркт миокарда формулировка диагноза.
Терапия отека легких. осложнения острого инфаркта миокарда. терапия при отеке легких. отек легких при остром инфаркте миокарда.
Стадии развития инфаркта миокарда. острый инфаркт миокарда стадии развития. классификация периодов инфаркта миокарда. стадии инфаркта сиокард.
Сроки развития повторного инфаркта миокарда. классификация инфаркта миокарда по клиническому течению. рецидивирующий инфаркт миокарда сроки. рецидив инфаркта миокарда классификация.
Острая стадия инфаркта миокарда экг. острейшая стадия инфаркта миокарда экг. стадии инфаркта миокарда на экг. острый инфаркт миокарда на экг по стадиям.