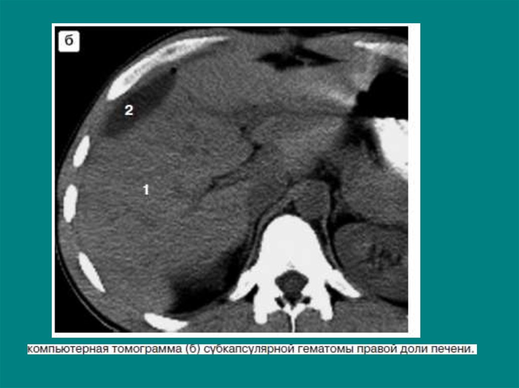
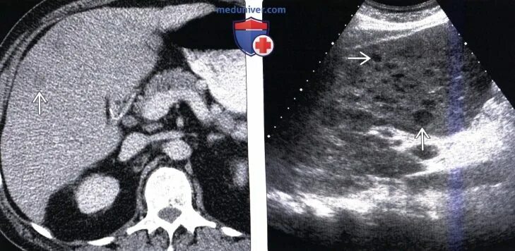
Гиперваскулярные метастазы печени кт. гиповаскулярные метастазы печени кт. метастатическое поражение печени кт. гиперваскулярное образование печени мрт.Кистозные образования печени кт. кальцинированные очаги в печени на кт. кальцинированные образования печени кт.Нодулярная гиперплазия печени. фокальная узловая гиперплазия печени кт. фокальная нодулярная гиперплазия печени на кт. фокальная нодулярная гиперплазия печени мрт.Гиперваскулярные метастазы печени кт. квр печени кт. альвеокок печени кт. гиперваскулярные метастазы на кт.Гиповаскулярное образование в печени на ктГиподенсный очаг печени кт. гиповаскулярный очаг в печени s3. узи признаки метастазов в печени. гиперваскулярные метастазы печени кт.Альвеококкоз печени кт. альвеококкоз печени мрт. дистрофия поджелудочной железы кт. жировая дистрофия поджелудочной железы кт.Папиллярная карцинома почки кт. почечно-клеточная карцинома на кт. гиперваскулярное образование почки на кт. гиперваскулярное образование печени мрт.Гиперденсное образование почки на кт. гиповаскулярный очаг в почке на кт. гиперденсивные образования почек на кт.Гепатоцеллюлярная карцинома печени. гепатоцеллюлярная карцинома кт.Гиперваскулярные образования печени на кт. обызвествленное образование печени кт.Гиповаскулярное образование в печени на ктГиповаскулярное образование в печени на ктСубкапсулярное образование печени. субкапсулярная киста почки кт.Очаговые образования печени кт. множественные очаговые образования в печени. очаговое образование на скуле слева.Фиброламеллярная карцинома. фиброламеллярная карцинома печени кт.Классификация образований в печени. гиперваскулярные образования печени. очаговое образование печени. образования печени по узи.Гиповаскулярное образование в печени на ктЗно печени кт. мтс печени на кт с контрастом. зно печени кт с контрастом.Гиповаскулярный очаг в почке на кт. изоденсивное образование почки на кт. гиперденсивные образования почек на кт. почечно-клеточная карцинома на кт.Гиповаскулярное образование в печени на ктГепатоцеллюлярная карцинома кт. гепатоцеллюлярная карцинома печени кт.Кальцинированный очаг печени кт. кистозные образования печени кт. капиллярная гемангиома печени на кт.Почечно-клеточная карцинома почки на кт. почечно-клеточная карцинома на кт. гиповаскулярное образование почки на кт. объемные образования почек кт.Обызвествленные образования печени на кт. кальцинированные образования печени кт.Субкапсулярные образования печени кт. гиподенсный очаг печени кт. гиперваскулярные метастазы печени кт. гиперваскулярные образования печени на кт.Кт гепатобластома печени. гепатоцеллюлярная аденома печени кт. гепатоцеллюлярная карцинома печени кт. гепатоцеллюлярная карцинома печени мрт.Кистозные образования печени кт. кальцинированный очаг печени кт. субкапсулярное образование печени кт.Гиперваскулярные метастазы печени кт. кистозно-солидное образование почки кт. гиперваскулярные метастазы на кт.Субкапсулярное образование печени кт. ангиомиолипома печени кт. субкапсулярный абсцесс печени кт.Гиповаскулярное образование в печени на ктГиповаскулярные метастазы печени кт. гепатомегалия печени кт. гиподенсный очаг печени кт.Гемангиома печени печени кт. кавернозная гемангиома кт. атипичная гемангиома печени на кт.Гиповаскулярное образование в печени на ктГиповаскулярные метастазы печени кт. гиперваскулярные метастазы печени кт. гиповаскулярные метастазы в печени на мрт.Фокальная нодулярная гиперплазия печени на кт. гиподенсный очаг печени кт. нодулярная гиперплазия печени на кт. фибронодулярная гиперплазия печени.Субкапсулярное образование печени кт.Гиповаскулярное образование в печени на ктФокальная нодулярная гиперплазия мрт. узловая гиперплазия печени кт. фокальная нодулярная гиперплазия печени на кт. фокальная узловая гиперплазия печени кт.Сегменты печени кт. нарушение перфузии печени на кт.Гиповаскулярное образование в печени на ктКальцинированные образования печени кт. обызвествленное образование печени кт.Гиповаскулярное образование в печени на ктГиперваскулярные метастазы печени кт. множественные метастазы печени на кт.Портальная фаза контрастирования при кт. динамическое контрастирование печени мрт. мрт с контрастом фазы. контрастирование печени кт.Фокальная нодулярная гиперплазия печени на кт. очаговая узловая гиперплазия на кт. очаговая узловая гиперплазия печени на кт. фокальная узловая гиперплазия печени кт.Гиповаскулярное образование в печени на ктЭхинококковая киста печени кт. эхинококковая киста кт. обызвествленная киста печени кт. эхинококковая киста на мрт.Гиповаскулярное образование в печени на ктГиподенсивные образования печени на кт.Капиллярная гемангиома печени на кт. кавернозная гемангиома печени кт. гигантская гемангиома печени кт. аваскулярное образование печени кт.Зно печени кт. мтс печени на кт с контрастом.Гиподенсные образования в печени что это такое на кт. гиподенсный очаг печени кт. гиподенсное образование в печени на кт.Гепатоцеллюлярная аденома печени кт. артериовенозный шунт в печени кт. мальформация в печени кт. субкапсулярный абсцесс печени кт.Ангиомиолипома позвоночника. гиповаскулярное образование почки на кт. гиперваскулярная опухоль почки на кт.Магнитно-резонансная томография печени. очаговая узловая гиперплазия печени. гиповаскулярные очаги в печени что это.Гепатоцеллюлярная карцинома печени мрт. гепатоцеллюлярная аденома печени кт. гепатоцеллюлярная карцинома кт.Гиповаскулярное образование в печени на ктГиподенсные образования в печени. атипичная гемангиома печени на кт. гиподенсный очаг печени кт.Ангиомиолипома печени мрт.Фокальная нодулярная гиперплазия кт. фокальная узловая гиперплазия печени кт.Подкапсульная гематома селезенки на кт. субкапсулярная гематома печени кт. подкапсульная гематома печени на узи.Субкапсулярное образование печени кт. подкапсульная гематома почки кт. подкапсульная гематома печени на кт. подкапсульное образование печени на кт.Инсулинома поджелудочной железы мрт. гиподенсивное образование в поджелудочной железе. гиподенсивное образование поджелудочной железы на кт. гиподенсивная зона селезенки.Сканирование печени.