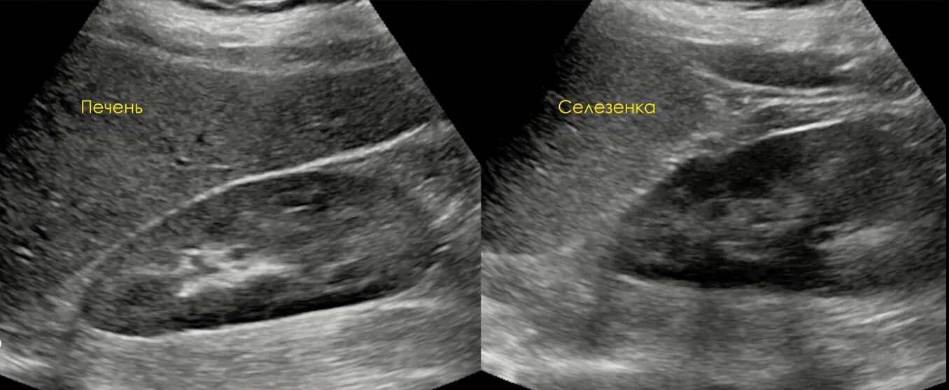
Гиперэхогенные структуры на узи. мелкие гиперэхогенные структуры в почках на узи. гиперэхогенная структура паренхимы печени. гиперэхогенные включения в печени на узи.Гиперэхогенные образования в печени на узи.Доброкачественные опухоли печени на узи. гиперэхогенные образования в печени на узи. гиперэхогенные включения в печени на узи.Узи селезенки гиперэхогенные образования. гиперэхогенное образование в печени. гиперэхогенные образования в печени на узи. гиперэхогенные структуры на узи.Гиперэхогенные включения в печени на узи. узи селезенки гиперэхогенные образования. гиперэхогенное образование в селезенке.Гиперэхогенное включение в печениГиперэхогенное образование в печени на узи что это такое. газ в портальной системе печени на узи. гиперэхогенные включения в печени на узи. гиперэхогенные точечные включения в селезенке на узи.Гиперэхогенная печень. гиперэхогенные образования в печени. гиперэхогенная печень на узи. гиперэхогенное образование в печени на узи что это такое.Гиперэхогенные включения в печени на узи. холангит на узи.Узи анатомия почек. гиперэхогенные линейные структуры. точечные гиперэхогенные включения в печени. гиперэхогенные включения в миометрии.Гиперэхогенное включение в печениТочечные гиперэхогенные включения в печени. гиперэхогенное образование в почке что это. симптом гиперэхогенных пирамид в почках на узи. гиперэхогенные тяжи на узи.Гиперэхогенные структуры на узи. гиперэхогенные включения без акустической тени. узи селезенки гиперэхогенные образования. гиперэхогенное образование в печени на узи что это такое.Гиперэхогенные включения в печени на узи. амебный абсцесс печени на узи. гиперэхогенный очаг в печени. неоднородное образование в печени на узи.Метастатическое поражение печени узи. образования печени на узи. гиперэхогенные образования.Гиперэхогенное включение в печениГиперэхогенные образования. гиперэхогенное образование на узи. гиперэхогенные образования в печени.Метастазы в печень гиперэхогенные узи. гиперэхогенное образование. гиперэхогенные включения. множественные гиперэхогенные включения в печени.Гиперэхогенные включения поджелудочной железы. гиперэхогенные включения в печени на узи. узи множественные гиперэхогенные. кальцинаты в простате на узи.Подкапсульная гематома печени на узи. гиперэхогенные образования в печени. гиперэхогенные включения в печени. гиперэхогенное образование в печени по узи.Гиперэхогенные образования в печени на узи. гепатоцеллюлярная аденома печени узи. гиперэхогенный очаг в печени на узи. очаговый липоматоз печени узи.Гиперэхогенные образования. множественные гиперэхогенные образования. гиперэхогенные образования в печени. образование брюшной полости узи.Гиперэхогенное включение в печениГиперэхогенная печень. гиперэхогенный желчный пузырь. гиперэхогенное образование в желчном пузыре. гиперэхогенные образования в печени.Узи желчного пузыря гиперэхогенные. гиперэхогенный желчный пузырь узи. гипоэхогенное образование в желчном пузыре. гиперэхогенное образование в желчном пузыре.Гиперэхогенное включение в печениГиперэхогенный полип эндометрия. гиперэхогенное. множественные гиперэхогенные образования.Гиперэхогенное включение в печениГиперэхогенные образования в печени на узи. гипоэхогенные образования в печени метастазы. гипоэхогенное образование при узи печени.Гиперэхогенное включение в печениГиперэхогенное неоднородное образование в печени. гиперэхогенные структуры. в полости матки гиперэхогенное образование. гиперэхогенные линейные структуры.Гиперэхогенные включения в печени на узи. гиперэхогенный очаг в мочевом пузыре.Гиперэхогенные участки на узи. гиперэхогенное включение. гиперэхогенные включения в яичнике.Гиперэхогенное включение в печениКонкремент в мочевом пузыре узи протокол. линейное гиперэхогенное образование. гиперэхогенное образование на узи.Синдром гиперэхогенных пирамид почек узи. узи селезенки гиперэхогенные образования. гиперэхогенные включения в печени на узи. образование почки на узи в паренхиме.Гиперэхогенное образование на узи. узи анатомия почек. точечные гиперэхогенные включения в печени.Сонограмма поджелудочной железы. кольцевидная поджелудочная железа узи. гиперэхогенное образование поджелудочной железы узи. гиперэхогенные включения в печени на узи.Гиперэхогенная структура на узи. гиперэхогенное образование на узи. гиперэхогенное образование диаметром 21 мм. гиперэхогенные включения до 3-4 мм.Гиперэхогенные включения. гиперэхогенные включения в матке. гиперэхогенное точечное включение. гиперэхогенные включения в цервикальном канале.