Удиви меня
Гематомы мозга у детей
Гематомы мозга у детей
Гематомы мозга у детей
Внутримозговая гематома. внутримозговая гематома головного мозга. внутричерепные кровоизлияния у новорожденных. внутримозговое кровоизлияние у новорожденных.
Субдуральная гематома мозжечка кт. субдуральное кровоизлияние мрт. субдуральная гематома родовая травма. кт головного мозга при дцп.
Субдуральное кровоизлияние кт. субдуральная гематома на кт. кт субдуральной гематомы. эпидуральная гематома на кт.
Гематома в головном мозге. гематома головного мозга операция. осложнения гематомы головного мозга.
Внутримозговое кровоизлияние. внутримозговая гематома. гематома мозга с кровоизлиянием.
Гематомы мозга у детей
Гематомы мозга у детей
Гематомы мозга у детей
Гематомы мозга у детей
Гематомы мозга у детей
Гематомы мозга у детей
Субкорнеальная гематома. дренирование субдуральной гематомы. субдуральная гематома гистология. внутричерепная гематома.
Внутричерепная гематома. внутричерепное кровоизлияние. внутричерепные гематомы классификация. внутричерепная гематома снимок.
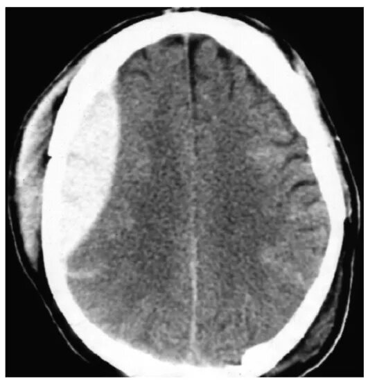
Эпидуральная гематома на кт. эпидуральная гематома головного мозга кт. сдавление головного мозга на кт. эпидуральная гематома мрт.
Гематомы мозга у детей
Гематомы мозга у детей
Эпидуральная гематома головного мозга. субдуральная гематома и субарахноидальное кровоизлияние. эпидуральное кровоизлияние в головной мозг. эпидуральная субдуральная и субарахноидальная.
Субдуральная гематома мрт снимки. субдуральная гематома головного мозга мрт. эпидуральная гематома головного мозга кт. субдуральная и эпидуральная гематома мрт.
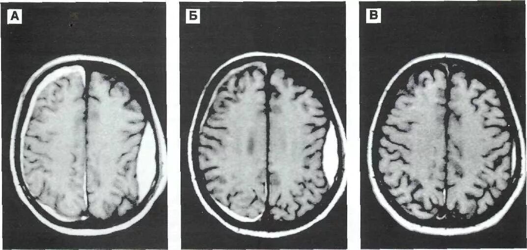
Пластинчатая субдуральная гематома. субдуральная и эпидуральная гематома. субдуральное кровоизлияние головного мозга на кт. подострая субдуральная гематома на кт.
Острая субдуральная гематома кт. субдуральная гематома головного мозга мрт. субдуральная гематома головного мозга кт. субдуральная гематома макропрепарат.
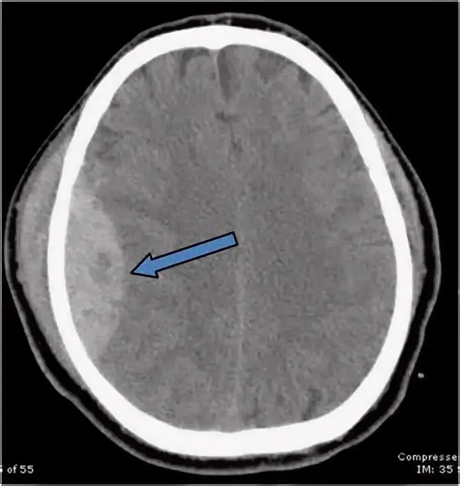
Внутримозговаяя гематомакт. внутримозговая гематома кт. кт мозга внутримозговая гематома.
Эпидуральная гематома на кт. эпидуральная гематома головного мозга кт. эпидуральные гематомы на кт. субдуральная гематома рентген.
Гематомы мозга у детей
Гематомы мозга у детей
Гематомы мозга у детей
Гематомы мозга у детей
Гематомы мозга у детей
Гематомы мозга у детей
Гематомы мозга у детей
Гематомы мозга у детей
Гематомы мозга у детей
Гематомы мозга у детей
Эпидуральная гематома на кт. эпидуральная гематома кт картина. эпидуральная гематома головного мозга кт. подострая эпидуральная гематома.
Гематомы мозга у детей
Субдуральная гематома мрт. субдуральная гематома головного мозга мрт. субдуральное кровоизлияние кт. субдуральная гематома головного мозга кт.
Гематомы мозга у детей
Гематомы мозга у детей
Кт мозга внутримозговая гематома. внутримозговая гематома мрт. хроническая внутримозговая гематома на кт. внутримозговое кровоизлияние мрт.