Удиви меня
Эмбриология гистология
Онтология гистология бриология. цитология эмбриология. цитология и гистология.
Кузнецов мушкамбаров гистология. кузнецов мушкамбаров гистология учебник. гистология цитология и эмбриология книга кузнецов. гистология цитология и эмбриология книга.
Атлас по гистологии гемонов. атлас гистология лаврова. гистология, эмбриология, цитологи. эмбриология человека ги.
Эмбриональный гистогенез гистология схема. онтогенез тканей гистология. непрямой онтогенез гистология. эмбриогенез гистогенез.
Учебник атлас быкова гистология. гистология юшканцева. атлас гистология быков. гистология эмбриологии и цитологии учебник.
1 неделя эмбриогенеза гистология. развитие эмбриона гистология. гистология периоды развития зародыша. эмбриогенез глаза гистология.
Гистология цитология эмбриология. анатомия цитология гистология. онтология гистология бриология.
Мезенхима зародыша курицы гистология. куриный эмбрион гистология. препарат мезенхимы зародыша птицы.
-20% гистология, цитология и эмбриология. учебное пособие.. таблицы по цитологии гистология. онтология гистология бриология. гистология цитология эмбриология.
Эмбриология гистология
Основы цитологии и гистологии. практикум по гистологии цитологии и эмбриологии. основы эмбриологии человека гистология. основы общей эмбриологии гистология рисунки.
Схема строения яйцеклетки. строение зиготы гистология. строение яйцеклетки человека схема. оплодотворение яйцеклетки гистология схема.
Гистология книга афанасьев. gistologiya sitologiya embriologiya afanasiv. гистология, эмбриология, цитологи. афанасьев гистология 2003 год.
Эмбриология гистология
Оплодотворение яйцеклетки гистология. микропрепарат яйцеклетка лягушки.
Гистология цитология эмбриология. онтология гистология бриология. кафедра гистологии цитологии и эмбриологии. кафедра гистологии юугму.
Амнион эмбриология. амнион и желточный мешок. строение аллантоиса гистология. строение стенки амниона.
Гистология цитология эмбриология. цитология клетка. гистология ткани. стереология это в гистологии. методы исследования в гистологии цитологии и эмбриологии.
Амнион эмбриология. зародышевые оболочки амнион и хорион. амнион хорион аллантоис у человека. хорион эмбриология.
Пищеварительные железы гистология препараты. пищеварительные железы гистология. цитология и гистология. гистология презентаци.
Разделы гистологии. предмет изучения гистологии как науки. гистология цитология эмбриология. возникновение гистологии.
Эмбриология гистология
Гистология цитология и эмбриология книга кузнецов. гистология цитология и эмбриология книга. гистология эмбриологии и цитологии кузнецов. гистология, цитология и эмбриология. учебник кузнецов.
Цитотрофобласт гистология. симпласто трофобласт гистология. 7.5 суточный зародыш человека гистология.
Туловищная и амниотическая складки зародыша курицы. образование туловищной и амниотической складок у зародыша курицы. туловищная и амниотическая складки зародыша препарат. амниотическая и туловищная складка гистология.
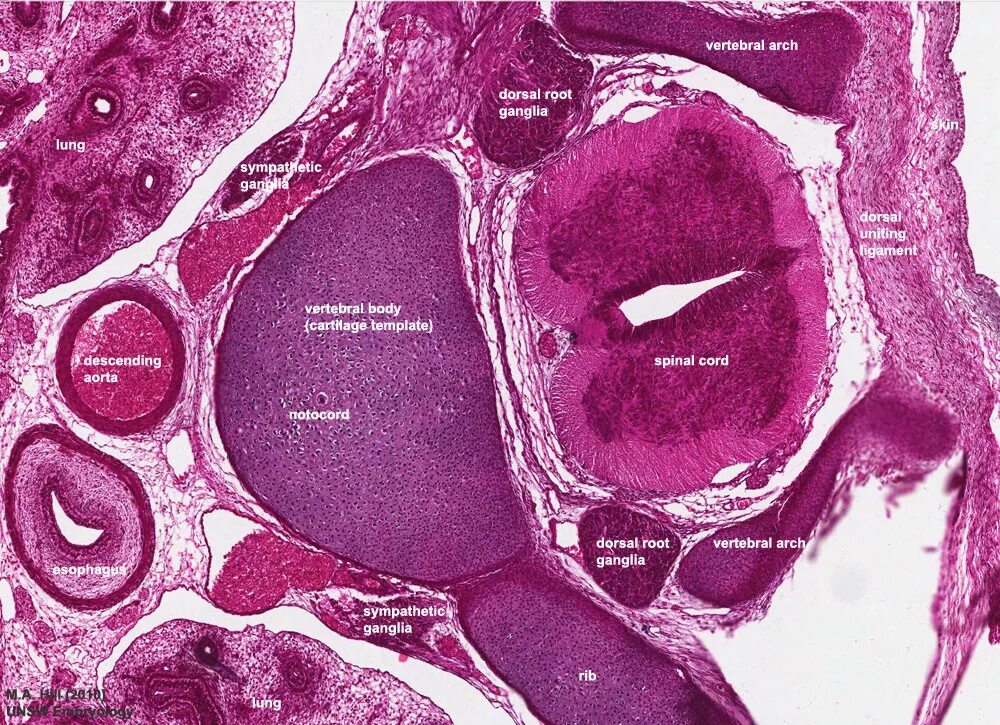
Нервная трубка и ганглиозная пластинка. нервная трубка гистология. образование нервной трубки гистология. ганглиозная пластинка гистология.
Туловищная и амниотическая складки зародыша курицы. туловищная и амниотическая складки препарат гистология. туловищная складка препарат. зародыш курицы гистология препарат.
Типы плацент гистология. эпителиохориальный тип плаценты. типы плацент млекопитающих. эпителиохориальная плацента гистология.
Гистология наука. гистология это наука изучающая. гистология определение.
Мезенхима зародыша курицы препарат. схема эмбриогенеза человека гистология. мезенхима препарат гистология. поперечный срез зародыша курицы гистология.
Эмбриология гистология
Гистогенез кровеносных сосудов. кортикальный слой эмбриология. эмбриональные источники развития тканей гистология.
Гистологические препараты гистология. гистология это в биологии. гистологические изображения.
Остеогенез гистология препарат. десмальный остеогенез гистология. остеогистогенез гистология. прямой остеогенез препарат гистология.
С332г гистология. клетки мартинотти гистология. окраска по маллори в гистологии. гистологические препараты под микроскопом.
Эмбриология гистология
Схема процесса оплодотворения имплантации. стадии имплантации эмбриона. оплодотворённая яйцеклетка человека гистология.
Эмбриология гистология
Поперечный срез зародыша гистология. образование туловищной и амниотической складок у зародыша курицы. поперечный срез зародыша курицы гистология. мезенхима поперечный срез зародыша курицы.
Эмбриология гистология
Зиматкин гистология. гестион гистология. гистологические препараты гистология.
Эмбриология. эмбриология презентация. основы эмбриологии человека. современная эмбриология.
Эмбриология микропрепараты. препарат зародыша птиц эмбриология. эмбриология гиста.
Нсау гистология препараты.
Эмбриология гистология
Альбом по гистологии мгмсу 1 часть. гистология альбом. методичка по гистологии. заполненный альбом гистология.
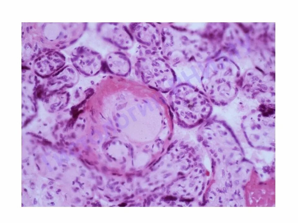
Эмбриогенез почки гистология. эмбриогенез выделительной системы. эмбриогенез мочеполовой системы. эмбриогенез мочевыделительной системы человека.
Ранняя стадия развития зуба гистология. периоды развития зубов гистология. ранняя стадия развития зуба гистология препарат. стадии развития зуба гистология.
Эмбриология гистология
Эмбриология гистология
Эмбриология гистология
Кавитация в эмбриологии. эмбриология схемы кузнецов. виноградова эмбриология. эрих блехшмидт эмбриология.
Эмбриональный гистогенез. эмбриология органогенез гистология. гистогенез нервной ткани гистология. эмбриональный гистогенез гистология схема.
Эмбриология глаза. эмбриональное развитие глаза человека. формирование глаза эмбриология. развитие глаза у эмбриона человека гистология.
Плотная волокнистая соединительная ткань оформленная неоформленная. плотная оформленная соединительная ткань препарат. плотная оформленная волокнистая соединительная ткань сухожилие. плотная волокнистая оформленная соединительная ткань гистология.
Развитие надпочечников в эмбриогенезе. эмбриогенез щитовидной железы гистология. источники развития эндокринных желез гистология. эмбриональное развитие гипофиза схема.
Эмбриология гаструляция. гаструляция зародыша гистология. зародышевая гаструляция в эмбриогенезе человека. зародышевые листки и зародышевые зачатки.
Эмбриология гистология
Корона радиата гистология препарат. корона радиата гистология под микроскопом. корона радиата яйцеклетка.
Эмбриология гистология
Эмбриология гистология
Эмбриология гистология
Препараты гистология мужская половая система. мужская половая система семенник гистология. самцы половая система гистология. мужская половая система гистология развитие.
Туловищная и амниотическая складки зародыша курицы. туловищная и амниотическая складки препарат гистология. мезенхима срез зародыша курицы. туловищная складка гистология препарат.
Эмбриология гистология
Пролиферация в эмбриологии. эмбриология сосудов.
Embryology eye. эмбриология глаза. чашка эмбриология. из чего образована роговица эмбриология.
Эмбриология гистология