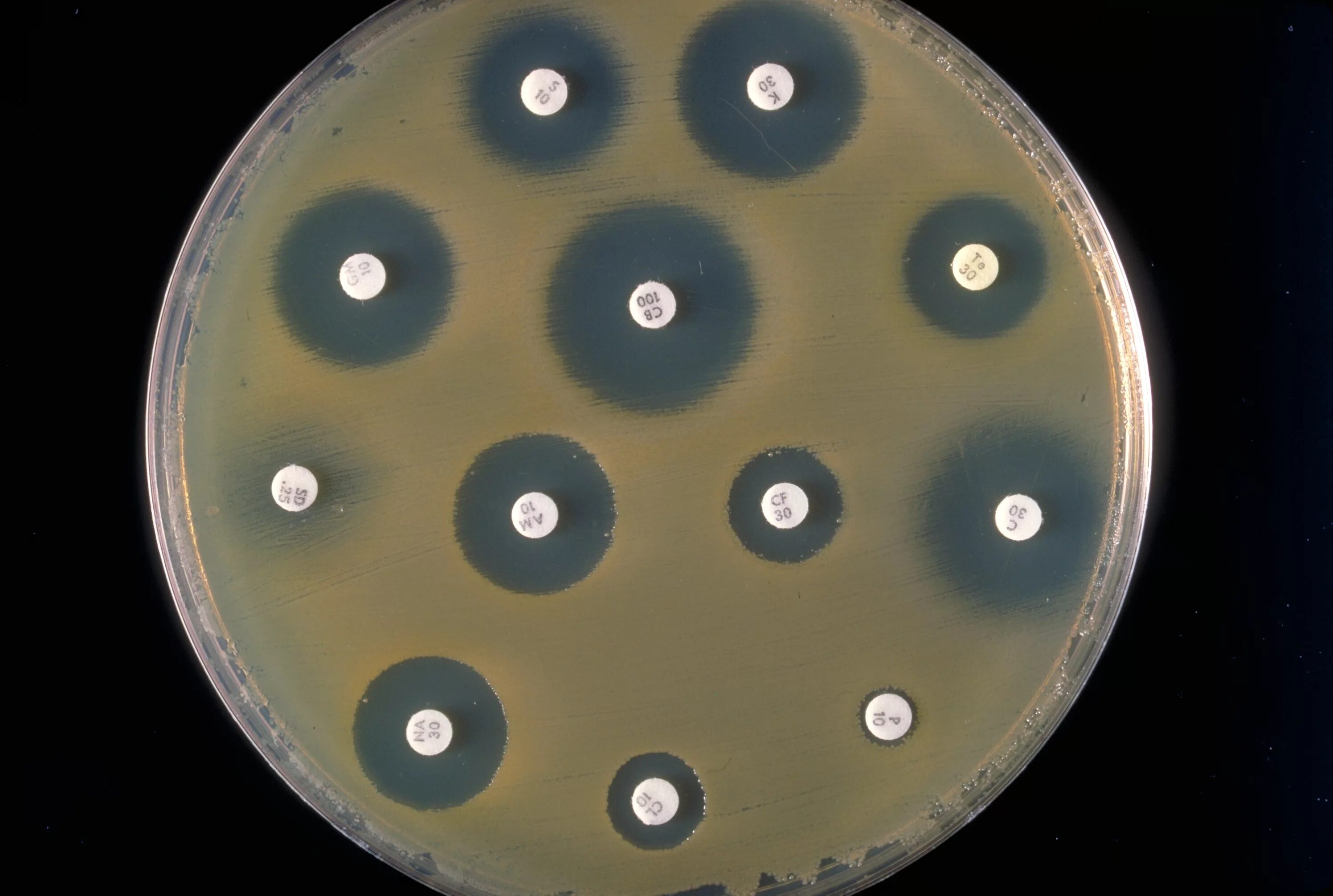
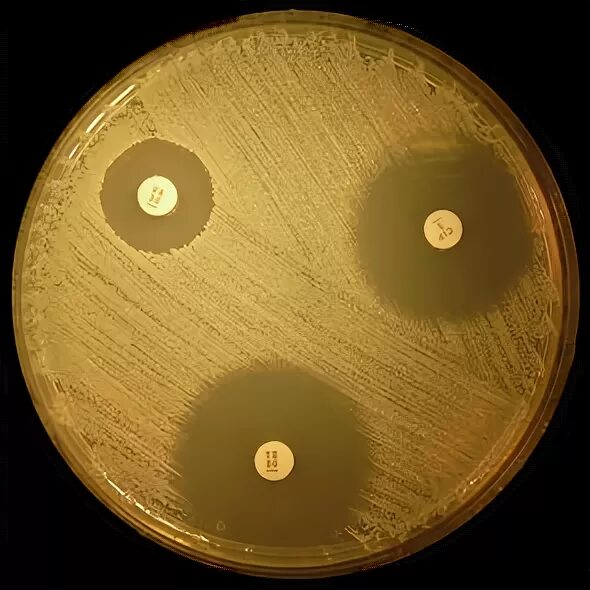
Чувствительность антибиотиков методом диффузии в агар. диско диффузный метод антибиотики. чувствительность к антибиотикам диско-диффузионным методом. диско диффузионный метод микробиология.Антибиотикограмма диско-диффузионный метод. дискодифыкзионныц метод. дискощиыузионный метод. дисколиффуззионный метод.Диско диффузионный метод микробиология. антибиотикограмма методика постановки дискодиффузионный метод. дисколиффуззионный метод. дискощиыузионный метод.Диско диффузный метод антибиотико чувствительности. диско диффузионный метод принцип метода. чувствительность к антибиотикам диско-диффузионным методом. антибиотикограмма диско-диффузионный метод.Диско диффузионный метод. дискодиффущионный метод. дискозифузионный метод. диск диффузионный метод.Диско диффузионный метод. диско диффузионный метод микробиология. антибиотикограмма диско-диффузионный метод. диско диффузный метод антибиотики.Чувствительность к антибиотикам диско-диффузионным методом. диско-диффузионный метод определения чувствительности к антибиотику. диско диффузионный метод принцип метода. диско-диффузионный метод определения чувствительности.Диско диффузионный метод принцип метода. диско-диффузионный метод определения чувствительности. дисколиффуззионный метод. диско диффузионный метод микробиология.Чувствительность микроорганизмов к антибиотикам метод дисков. диско диффузный метод антибиотики. чувствительность к антибиотикам диско-диффузионным методом. метод определения чувствительности микробов к антибиотикам.Чувствительность к антибиотикам диско-диффузионным методом. диско-диффузионный метод ( метод бумажных дисков). диско диффузионный метод. диффузионные методы.Чувствительность к антибиотикам диско-диффузионным методом. антибиотикограмма диско-диффузионный метод. антибиотикограмма методика постановки дискодиффузионный метод. диско диффузионный метод принцип метода.Антибиотикограмма диско-диффузионный метод. дискоинфузионный метод. диско диффузионный метод микробиология. дискодтфузионный метод.Дисколиффуззионный метод. дискозифузионный метод. диско диффузионный метод. дискодиффущионный метод.Схема методов определения чувствительности бактерий к антибиотикам. методы определения чувствительности бактерий к антибиотикам схема. чувствительность к антибиотикам диско-диффузионным методом. чувствительность микроорганизмов к антибиотикам метод дисков.Чувствительность к антибиотикам диско-диффузионным методом. диско-диффузионный метод оценки чувствительности к антибиотикам. диско диффузный метод определения чувствительности. чувствительность микроорганизмов к антибиотикам.Антибиотикограмма диско-диффузионный метод. чувствительность к антибиотикам диско-диффузионным методом. диско диффузионный метод микробиология. диско диффузный метод антибиотики.Дискудиффузионный метод. диско-диффузионный. диско диффузионный метод микробиология. методика диско-диффузионного метода.Диско-диффузионный метод определения чувствительности. метод определения чувствительности к абп. диско-диффузионный метод определения чувствительности к антибиотику. метод дисков для определения чувствительности к антибиотикам.Чувствительность микроорганизмов к антибиотикам метод дисков. чувствительность к антибиотикам диско-диффузионным методом. степень чувствительности микроорганизмов к антибиотикам. метод диффузии в агар антибиотики.Метод определения чувствительности к антибиотикам микробиология. методы чувствительности микроорганизмов к антибиотикам. методы определения чувствительности микроорганизмов к антибиотикам. чувствительность микробов к антибиотикам определяется.Антибиотики методы определения чувствительности к антибиотикам. чувствительность к антибиотикам диско-диффузионным методом. чувствительность микроорганизмов к антибиотикам метод дисков. диско-диффузионный метод ( метод бумажных дисков).Чувствительность к антибиотикам определяется методом. схема методов определения чувствительности бактерий к антибиотикам. методы определения чувствительности бактерий к антибиотикам. антибиотики методы определения чувствительности к антибиотикам.Чувствительность к антибиотикам диско-диффузионным методом. антибиотикограмма диско-диффузионный метод. диско диффузный метод антибиотики. дисколиффуззионный метод.Диско диффузионный метод микробиология. чувствительность к антибиотикам диско-диффузионным методом. диффузный метод определения чувствительности. антибиотикограмма диско-диффузионный метод.Чувствительность к антибиотикам диско-диффузионным методом. диско-диффузионный метод определения чувствительности к антибиотику. диффузный метод определения чувствительности к антибиотикам. диско диффузионный метод.Диско диффузионный метод схема. метод определения чувствительности к антибиотикам микробиология. схема методов определения чувствительности бактерий к антибиотикам. чувствительность к антибиотикам диско-диффузионным методом.Чувствительность к антибиотикам диско-диффузионным методом. чувствительность микроорганизмов к антибиотикам метод дисков. диско-диффузионный метод определения чувствительности к антибиотику. диаметр зоны задержки роста.Диско диффузионный метод микробиология. метод е тестов микробиология. е-тесты метод определения чувствительности к антибиотикам. дискодифыкзионныц метод.Диско диффузионный метод определенияДиско диффузионный метод. метод 8 одиночных дисков. антибиотикочувствительность.Чувствительность к антибиотикам определяется методом. чувствительность к антибиотикам диско-диффузионным методом. метод определения чувствительности к антибиотикам микробиология. диско диффузионный метод микробиология.Чувствительность к антибиотикам определяется методом. определение чувствительности бактерий к антибиотикам. чувствительность микроорганизмов к антибиотикам метод дисков. при изучении чувствительности к антибиотикам определяют.Диско-диффузионный метод ( метод бумажных дисков). диско диффузионный метод. дискоинфузионный метод. дискодиффущионный метод.Антибиотикограмма диско-диффузионный метод. диско-диффузионный метод ( метод бумажных дисков). диско диффузионный метод принцип метода.Диско диффузионный метод. диско диффузионный метод микробиология. дискодтфузионный метод. метод диффузионных дисков.Диско диффузионный метод микробиология. диско-диффузионный метод (ддм). диско диффузионный метод чашки петри. антибиотикограмма диско-диффузионный метод.Чувствительность к антибиотикам диско-диффузионным методом. диско-диффузионный метод (ддм). дисколиффуззионный метод. диско диффузный метод антибиотики.Чашка петри чувствительность к антибиотикам. чашка петри антибиотикорезистентность. метод диффузии в агар. чувствительность к антибиотикам диско-диффузионным методом.Методы определения чувствительности бактерий к антибиотикам. методы определения чувствительности бактерий к антибиотикам схема. чувствительность к антибиотикам методом дисков. определение чувствительности микроорганизмов с помощью е-тестов.Диско диффузионный метод определенияЧувствительность к антибиотикам диско-диффузионным методом. чувствительность синегнойной палочки к антибиотикам. антибиотикограмма синегнойная палочка. определение чувствительности к антибиотикам диффузионным методом.Антибиотикограмма диско-диффузионный метод. диско диффузионный метод микробиология. чувствительность к антибиотикам диско-диффузионным методом. диско диффузионный метод антибиотики.Определение чувствительности микроорганизмов с помощью е-тестов. схема методов определения чувствительности бактерий к антибиотикам. определение чувствительности к антибиотикам микробиология. методы оценки чувствительности бактерий к антибиотикам.Диско диффузионный метод определенияДиско диффузионный метод. диско диффузионный метод микробиология. диско диффузионный экстрактор. диско-диффузионный и метод серийных разведений.Метод диффузии в агар антибиотики. чашка петри чувствительность к антибиотикам. антибиотикограмма резистентность. метод диффузии в агар микробиология.Метод диффузии в агар. метод диффузии в агар антибиотики. метод диффузии в агар (метод бумажных дисков). disk diffusion method.Диско диффузионный метод чашки петри. диско диффузионный метод. диски антибиотикочувствительности. метод диффузии в агар.Диско диффузионный экстрактор. диски микробиология. диффузия в агар. чувствительность к антибиотикам в петри.Диско диффузионный метод определенияАнтибиотикограмма диско-диффузионный метод. метод диффузии в агар микробиология. диффузия в агар. диск диффузионный метод.Диско диффузионный метод микробиология. диффузный метод микробиология. диско диффузный метод. учет результатов диско-диффузионного метода.Диско диффузионный метод определенияДиско диффузионный метод. диско диффузионный метод микробиология. диско диффузионный метод трафарет. схема диско диффузионного метода.Диско диффузионный метод определенияЧувствительность бактерий к антибиотикам определяют методом. методы выявления чувствительности бактерий к антибиотикам. метод определения чувствительности бактерий к антибиотикам. оценка чувствительности бактерий к антибиотикам.Этапы диско-диффузионного метода. диско диффузионный метод микробиология. диско диффузный метод этапы. диско диффузионный метод алгоритм.Чашка петри чувствительность к антибиотикам. диско диффузионный метод чашки петри. диско диффузионный метод микробиология. антибиотики в чашке петри.Опыт определения чувствительности к антибиотикам методом дисков. метод определения чувствительности микробов к антибиотикам. чувствительность к антибиотикам определяется методом. методы определения чувствительности бактерий к антибиотикам схема.Методы определения чувствительности микробов к антибиотикам е тест. методы чувствительности бактерий к антибиотикам. диско диффузный метод определения чувствительности бактерий. определение чувствительности микроорганизма с помощью е-теста.Метод диффузии в агар. метод диффузии в агар (метод бумажных дисков). диско диффузионный метод. диско диффузионный метод антибиотики.Диско диффузный метод антибиотико чувствительности. антибиотико чувствительность метод дисков. диско-диффузионный метод определения чувствительности. чувствительность к антибиотикам диско-диффузионным методом.Диско диффузионный метод. методика диско-диффузионного метода. алгоритм диско-диффузионного метода. дискодиффузорный метод это.Метод определения чувствительности бактерий к антибиотикам. метод определения чувствительности микроорганизмов к антибиотикам. метод определения чувствительности к антибиотикам микробиология. антибиотики методы определения чувствительности к антибиотикам.Методика постановки диско диффузионный метод. диско диффузионный метод схема. диско-диффузионный метод принцип. диско-диффузионный метод диаметр.Антибиотики методы определения чувствительности к антибиотикам. метод определения чувствительности микроорганизмов к антибиотикам. методы определения чувствительности бактерий к антибиотикам схема. чувствительность микроорганизмов к антибиотикам метод дисков.Однодозный метод диффузии в агар. метод диффузии в агар. методом диффузии в агар методы. метод диффузии в агар микробиология.Диско диффузионный метод определенияПринцип диско диффузионного метода. метод диффузионных дисков. диффузный метод микробиология. диско-диффузионный метод недостатки метода.Диско диффузионный метод. disk diffusion method. диффузия в агар. метод диффузии в агар.Агар мюллера-хинтона. чашка петри чувствительность к антибиотикам. антибиотикограмма диско-диффузионный метод. метод радиальной иммунодиффузии в агаре.Метод диффузии в агар (метод бумажных дисков). метод диффузии в агар антибиотики.Диско диффузионный метод определенияДиско диффузионный метод чашки петри. чашка петри чувствительность к антибиотикам. зоны лизиса на чашках петри. чашка петри антибиотикорезистентность.Метод индикаторных дисков микробиология. методы определения активности антибиотиков. метод дисков антибиотики. метод стандартных дисков.Чувствительность к антибиотикам методом дисков. метод диффузии в агар микробиология. методы определения чувствительности бактерий к антибиотикам диски. антибиотикограмма микробиология.Чашка петри чувствительность к антибиотикам. метод диффузии в агар антибиотики. диско диффузионный метод чашки петри. чашка петри антибиотикорезистентность.Mueller–hinton agar. диско диффузионный метод микробиология. диско диффузионный экстрактор. диско-диффузионный метод определения чувствительности к антибиотику.Метод индикаторных дисков микробиология. антибиотикограмма методом стандартных дисков.Дискоинфузионный метод. диско диффузионный метод. дисколиффуззионный метод. диско диффузионный метод микробиология.Какие методы определения чувствительности к антибиотикам. методы определения чувствительности к антибиотикам кратко. метод определения чувствительности микроорганизмов к антибиотикам. методы оценки чувствительности бактерий к антибиотикам.Диско диффузионный метод микробиология. бумажные диски микробиология. диски с антибиотиками. метод дисков микробиология.Е тесты для определения чувствительности к антибиотикам. определение чувствительности микроорганизма с помощью е-теста. метод е тестов микробиология. определение чувствительности микроорганизмов с помощью е-тестов.