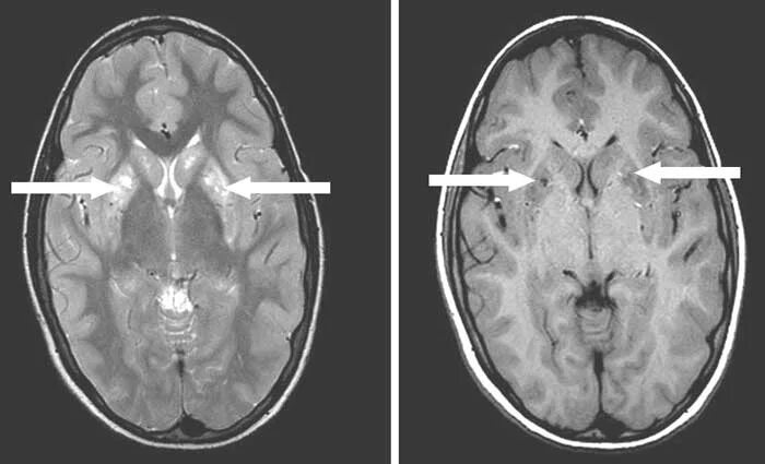
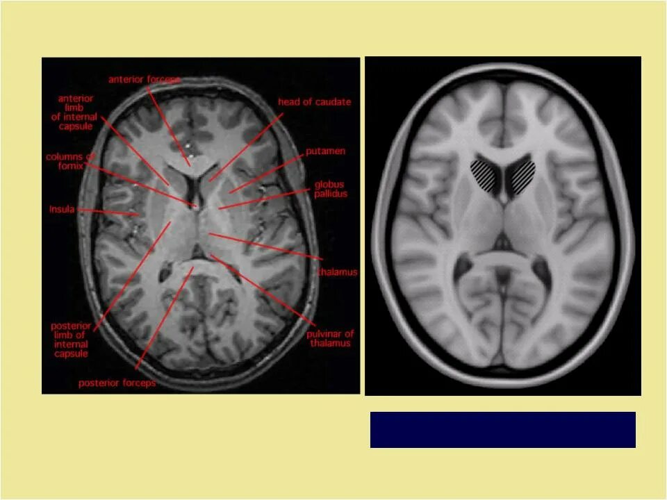
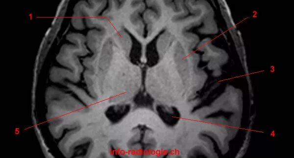
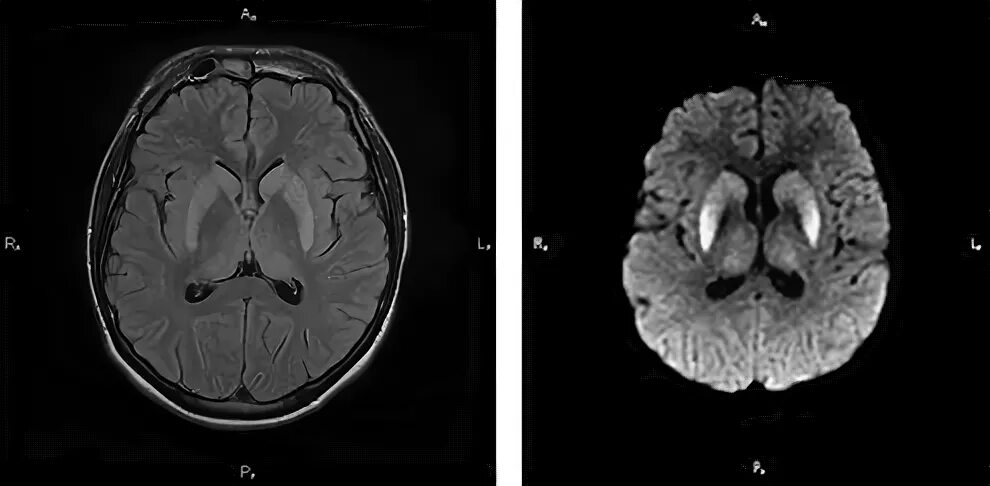
Базальные ядра головного мозга анатомия кт. хвостатое ядро мрт анатомия. базальные ганглии анатомия мрт. базальные ганглии мозга на мрт.Базальные ядра головного мозга мрт. мрт анатомия головного мозга. базальные ядра на кт схема. мрт головного мозга аксиальная проекция.Кальцификация базальных ганглиев кт. базальные ядра головного мозга кт. базальные ядра головного мозга анатомия мрт. анатомия базальных ганглиев кт.Скорлупа базальные ядра. скорлупа и хвостатое ядро на мрт. базальные ганглии анатомия мрт. скорлупа головной мозг кт.Базальные ганглии мрт. базальные ганглии на кт. базальные ядра головного мозга анатомия мрт. анатомия базальных ганглиев мрт.Базальные ядра головного мозга анатомия кт. анатомия подкорковых ядер мрт. базальные ядра головного мозга анатомия мрт. подкорковые структуры мозга на мрт.Скорлупа головной мозг кт. базальные ядра головного мозга кт. базальные ганглии анатомия мрт. базальные ядра мрт анатомия.Токсическое поражение головного мозга. поражение базальных ядер. токсическое поражение головного мозга мрт. симптомы поражения базальных ядер.Базальные ганглии анатомия мрт. базальные ядра головного мозга кт. чечевицеобразное ядро мозга анатомия. базальные ядра на кт схема.Базальные ядра головного мозга кт. мозолистое тело на кт анатомия. базальные ядра головного мозга анатомия кт. базальные ганглии анатомия мрт.Хвостатое ядро головного мозга. скорлупа базальные ядра. хвостатое ядро и скорлупа. головка хвостатого ядра.Базальные ядра головного мозга анатомия кт. чечевицеобразное ядро на кт. базальные ганглии анатомия мрт. базальные подкорковые ядра.Базальные ядра мозга мрт. ишемический инсульт базальных ядер. базальные ядра на кт. базальные структуры мрт.Лакунарные кисты в головном мозге мрт. базальные ганглии анатомия мрт. постинсультные кисты головного мозга на кт. киста головного мозга на кт.Анатомия головного мозга таламус кт. хвостатое ядро мозга кт. мрт головного мозга фронтальный срез. базальные ядра кт анатомия.Хвостатое ядро мозга кт. базальные ядра на кт. головка хвостатого ядра кт. базальные ядра кт анатомия.Кт анатомия головного мозга аксиальные срезы. базальные ядра головного мозга кт. желудочки мозга анатомия кт. мрт головного мозга фронтальный срез.Базальные ганглии анатомия. базальные ганглии мрт. подкорковые ядра на кт. базальные ганглии кт анатомия.Базальные ганглии мозга кт. анатомия базальных ганглиев кт. гиперденсивный очаг в головном мозге кт. базальные ганглии мрт.Базальные ганглии кт анатомия. гиперинтенсивный сигнал базальных ядер. status marmoratus базальных ганглиев. базальные ганглии мрт.Скорлупа базальные ядра. базальные ядра головного мозга мрт. повышение мр сигнала от базальных ядер. повышение сигнала от хвостатых ядер и скорлупы.Гипоинтенсивный сигнал по т2 на мрт. мр-сигнал на т2 ви что это. повышение мр сигнала по т2 в области базальных ядер. повышение мр сигнала от базальных ядер.Т1 взвешенные изображения в мрт. базальные цистерны головного мозга кт. фронтальный срез мрт.Базальные ядра головного мозга кт. подкорковые ядра мрт. таламус мрт анатомия. базальные ядра головного мозга анатомия мрт.Обызвествление базальных ядер. обызвествления базальных ядер на кт. отложение железа в базальных ядрах.Базальные ядра схема. базальные ядра кратко. базальные ядра макет. функции базальных ядер.Острый рассеянный энцефаломиелит (орэм). базальные ядра на кт. поражение базальных ганглиев мрт. поражение базальных ядер головного мозга.Базальные ганглии мрт. базальные ганглии анатомия мрт. базальные ядра головного мозга мрт. базальные ядра мрт анатомия.Анатомия базальных ганглиев мрт. базальных ганглиев головного мозга[. базальные ядра мозга строение. базальные ганглии кт анатомия.Базальные цистерны головного мозга кт. базальные ликворные цистерны. базальные цистерны головного мозга на мрт. базальные цистерны головного мозга кт анатомия.Т1 и т2 изображения мрт. т1 взвешенные изображения в мрт. т1 взвешенное изображение. срезы мрт.Базальные ядра мртГипоксическое поражение головного мозга кт. симметричное поражение базальных ядер мрт. гипоксическая энцефалопатия на мрт. токсические поражения базальных ядер мрт.Семиовальные центры в головном мозге. перивентрикулярная лейкомаляция кт. u образные волокна головного мозга. базальные ядра головного мозга анатомия кт.Базальные ганглии кт мрт. базальные ядра на кт. базальны е ядрас мрт.Лакунарный ишемический инсульт мрт. лакунарная киста в базальных ядрах. области базальных ядер мрт. лакунарная ликворная киста.Обызвествление базальных ядер головного мозга на кт. базальные ганглии мрт. лентикулярное ядро на кт. обызвествление серпа мозга на кт.Базальные ганглии анатомия мрт. контрастное усиление при кт. мрт с контрастным усилением. симметричное поражение базальных ядер мрт.Перивентрикулярный очаг глиоза на мрт. глиоз в головном мозге на мрт. перивентрикулярный глиоз на мрт. глиоз базальных ядер на мрт.Чечевицеобразное ядро мрт. ядра головного мозга кт. хвостатое ядро и чечевицеобразное ядро. хвостатое ядро мозга кт.