Удиви меня
Артроз коленного сустава симптомы
Деформирующий остеоартроз коленного сустава (гонартроз). гонартроз коленного сустава симптомы. гонартроз коленного сустава степени.
Гонартроз остеоартроз. гонартроз коленного сустава 2. дефартроз коленного сустава.
Основные симптомы остеоартроза. клинические проявления остеоартроза.
Артроз коленного сустава симптомы
Деформирующий остеоартроз коленного сустава. деформирующий артроз суставов патогенез. разрушение хрящевой ткани коленного сустава. сустав при остеоартрозе.
Деформирующий остеоартроз. деформирующий артроз коленного сустава 1. деформирующий остеоартроз 1 степени коленного.
Суставная мышь коленного сустава. внутрисуставная мышь коленного сустава. сужение суставной щели.
Посттравматический гонартроз коленного сустава. деформирующий артрозо артрит. артрозо-артрит коленного.
Остеоартроз деформирующий синовит. деформ артроз коленного сустава. деформирующий остеоартроз (доа). деформирующий остеоартроз коленного.
Артроз коленного сустава симптомы
Подагрический артрит коленного сустава рентген. деформирующий остеоартроз коленного сустава рентген. гонартроз коленного сустава 2.
Дисплазия пателлофеморального сустава. пателлофеморальный артроз коленного сустава что это такое. пателлофеморальный артроз коленного сустава рентген. пателлофеморальный артроз коленного сустава степени.
Деформирующий артроз (остеоартроз). деформирующий остеоартроз суставов. остеоартроз коленного сустава деформация. деформирующий гонартроз 1.
Деформирующий остеоартроз симптомы. деформирующий остеоартроз локализация. деформирующий остеоартроз госпитальная терапия. полиостеоартроз суставов.
Остеоартроз коленного сустава рентген. гонартроз коленного сустава 1. гонартроз коленного сустава рентген. деформирующий гонартроз рентген.
Деформирующий остеоартроз коленного сустава 1. деформирующий остеоартроз коленного сустава степени. деформирующий остеоартроз 1 стадия. стадии деформирующего остеоартроза коленных суставов.
Тендинит коленного сустава. ревматоидный артрит коленного сустава. тендопатия коленного сустава.
Артрит артроз остеоартроз. остеоартрит коленного сустава. артропатия коленных суставов. деформирующий остеоартроз.
Гонартроз коленного сустава. диспластический гонартроз. гонартроз остеоартроз.
Артрит коленного сустава мкб 10. остеоартроз коленного сустава мкб. артрит коленного сустава мкб. артрозо-артрит коленного сустава.
Деформирующий остеоартроз (доа). гонартроз коленного сустава 1. остеоартроз гонартроз коленного. деформирующий остеоартроз коленного сустава (гонартроз).
Деформирующий остеоартроз (доа). гонартроз- деформирующий артроз коленного сустава. дефартроз коленного сустава. деформирующий артроз (остеоартроз).
Посттравматический деформирующий гонартроз. посттравматический гонартроз двусторонний что это такое. посттравматический гонартроз 1 степени.
Лигаментоз надколенника. ревматоидный артрит коленного сустава рентген. деформирующего артроза-артрита.
Ревматоидный артрит коленного сустава. артрит артроз ревматизм. реактивный артрит коленного сустава. синовит коленного сустава.
Остеоартрит коленного сустава. остеоартроз коленного сустава. супрапателлярный импиджмент коленного сустава. остеоартрит (артроз, дегенеративные заболевания суставов).
Артрит и артроз коленного сустава. артрит или артроз коленного сустава отличия. остеоартроз и артрит разница. ревматоидный артрит и артроз.
Гнойный артрит коленного сустава. септический артрит коленного сустава. артрозо-артрит коленного.
Клинические проявления гонартроз. гонартроз коленного сустава этиология. характерные симптомы деформирующего остеоартроза. остеоартроз коленного сустава клиника.
Ревматоидный артрит синовиальная жидкость. ревматический полиартрит и ревматоидный артрит. суставная форма ревматоидного артрита. ревматоидный артрит изменения в суставах.
Артроз коленного сустава симптомы
Артроз коленного сустава симптомы
Артрит и артроз коленного сустава. остеоартроз крупных суставов. остеоартроз периферических суставов что это. заболевание артроз коленного сустава.
Артроз коленного сустава симптомы
Пателлофеморальный артроз коленного. пателлофеморальный артроз коленного сустава что это такое. пателлофеморальный артроз степени. артрофиброз коленного сустава.
Артропатия коленных суставов. артрозо-артрит коленного. полиартрит коленного сустава. посттравматический артроз коленного сустава.
Классификация остеоартроза коленного сустава. деформирующий остеоартроз механизм развития. артроз 1 степени коленного сустава классификация. деформирующий гонартроз 1 степени коленного сустава.
Разрушение хрящевой ткани коленного сустава. заболевания суставов коленей. заболевание артроз коленного сустава. заболевач коленного сустава.
Деформирующий гонартроз коленного сустава. деформирующий артроз 2 степени. первичный гонартроз коленного сустава 1. гонартроз 1 степени по kellgren.
Деформирующий остеоартроз (доа). первичный деформирующий остеоартроз. заболевания коленного сустава остеоартроз. .деформирующий остеоартрит остеоартроз.
Гонартроз коленного сустава 2. гонартроз коленного сустава 1.
Артроз коленного сустава симптомы
Артроз келлгрен лоуренс. синовит коленного сустава рентген. синовит тазобедренного сустава рентген. энтезопатия коленного сустава рентген.
Остеоартрит коленного сустава. остеоартроз коленного сустава. артроз коленного сустава анатомия. остеоартроз коленного сустава мрт.
Артроз коленного сустава симптомы
Деформирующий остеоартроз. деформирующий артроз коленного сустава. подагра коленного сустава рентген.
Полиартрит коленного сустава. оссифицирующий тендиноз коленного сустава. остеоартрит коленного сустава.
Гонартроз коленного симптомы. гонартрит коленного сустава.
Артроз коленного сустава симптомы
Остеоартроз коленного сустава рентген. рентген коленного сустава деформирующий гонартроз. деформирующий артроз коленного сустава рентген степени. рентген колена деформирующий артроз.
Ювенильный артрит коленного сустава рентген. синовит коленного сустава рентген. деформирующего артроза-артрита. ревматоидный артрит коленного сустава рентген.
Артроз коленного сустава симптомы
Деформирующий остеоартроз (доа). первичный деформирующий остеоартроз. пателлофеморальный артроз коленного сустава что это такое. деформирующий артроз (остеоартроз).
Синовит артроз коленного сустава. артропатия коленных суставов. артрит коленного сустава.
Артроз коленного сустава симптомы
Деформирующий остеоартроз коленного сустава эндопротез. гонартроз коленного сустава. гонартроз эндопротезирование коленного сустава. артроз коленного сустава (гонартроз).
Гемартроз коленного сустава 2 ст.. деформирующий гонартроз коленного сустава. деформирующий гонартроз 1. гонартроз остеоартроз.
Артроз коленного сустава симптомы
Остеоартрит коленного сустава рентген. артрозо-артрит коленного сустава рентген. артрит коленного сустава рентгенограмма. остеоартроз колена рентген.
Остеоартроз клинические симптомы. остеоартроз поражение суставов. остеоартрит (артроз, дегенеративные заболевания суставов). диффузный остеоартроз.
Артроз или гонартроз коленного сустава. здоровый коленный сустав. артроз коленного сустава лекарства.
Субхондральный остеоартроз. гонартроз коленного сустава. деформирующий остеоартроз (доа). посттравматический деформирующий артроз.
Деформирующий остеоартроз рентген. рентген коленного сустава деформирующий гонартроз. остеоартроз коленного сустава рентген. деформирующий артроз коленного сустава рентген.
Гонартроз 2 степени рентген. гонартроз 1 степени на рентгене. деформирующий остеоартроз коленного сустава рентген. гонартроз коленного сустава 1 степени на рентгене.
Остеофиты коленного сустава рентген. субхондральный остеосклероз рентген. остеосклероз коленного сустава рентген. рентген остеосклероз костной ткани.
Артроз связки тазобедренного сустава. артроз коленного и тазобедренного сустава. хрящ тазобедренного сустава.
Келлгрен лоуренс. остеоартроз коленного сустава степени. артроз коленного сустава (гонартроз). классификация остеоартроза по kellgren-lawrence.
Артроз коленного сустава. артроз коленного сустава презентация. гонартроз презентация. заболевания суставов презентация.
Дефартроз коленного сустава. деформирующий артроз коленного сустава. деформирующий артроз колена.
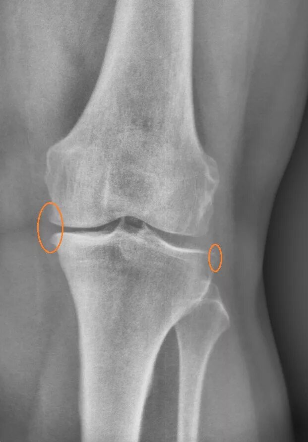
Деформирующий артроз суставная щель коленного сустава. субхондральный отдел большеберцовой кости. остеосклероз коленного сустава рентген. артроз коленного сустава суставная щель сужена.
Болезнь кёнига рассекающий остеохондрит. деформирующий остеоартроз (доа). рассекающий остеохондрит коленного сустава кт. гонартроз- деформирующий артроз коленного сустава.
Артроз коленного сустава симптомы
Артроз коленного сустава симптомы
Терапия при артрозе суставов. основные проявления остеоартроза. артроз коленного сустава. артроз коленного сустава лекарства.